25 / Feb
-
IMPROVING BONE KNOWLEDGE
En iBoneLab podemos ayudarte a dar forma a tu idea y llevarla a cabo gracias a nuestro conocimiento y experiencia en cada uno de los pasos en la investigación de los materiales en los tejidos.Más información -
IMPROVING BONE KNOWLEDGE
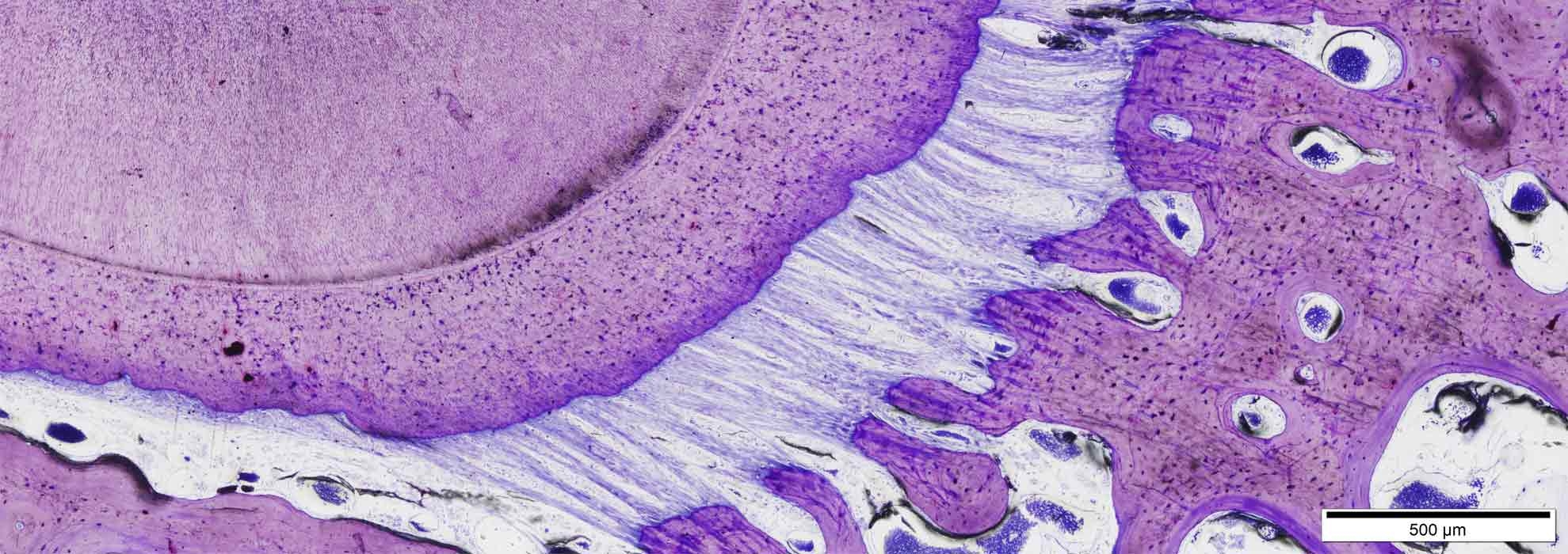
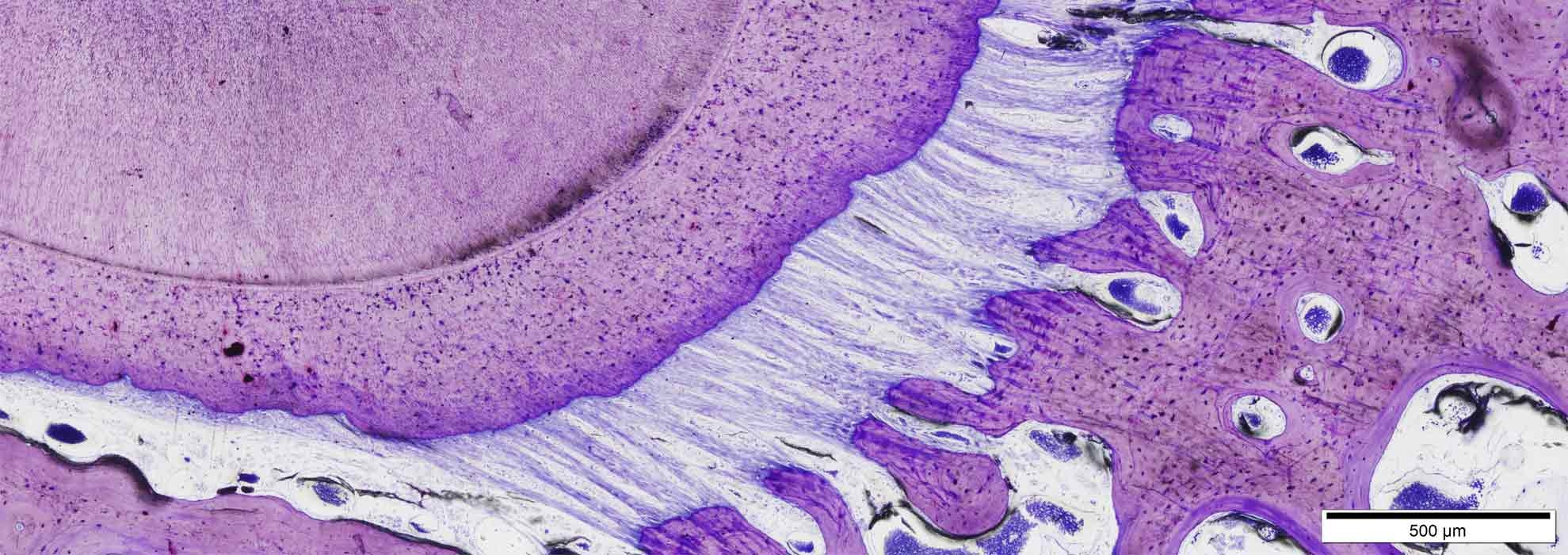
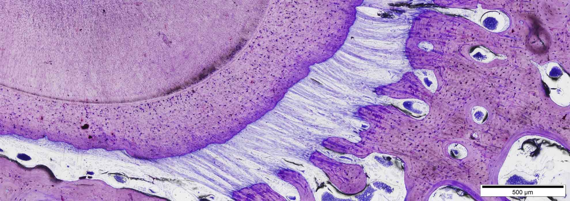
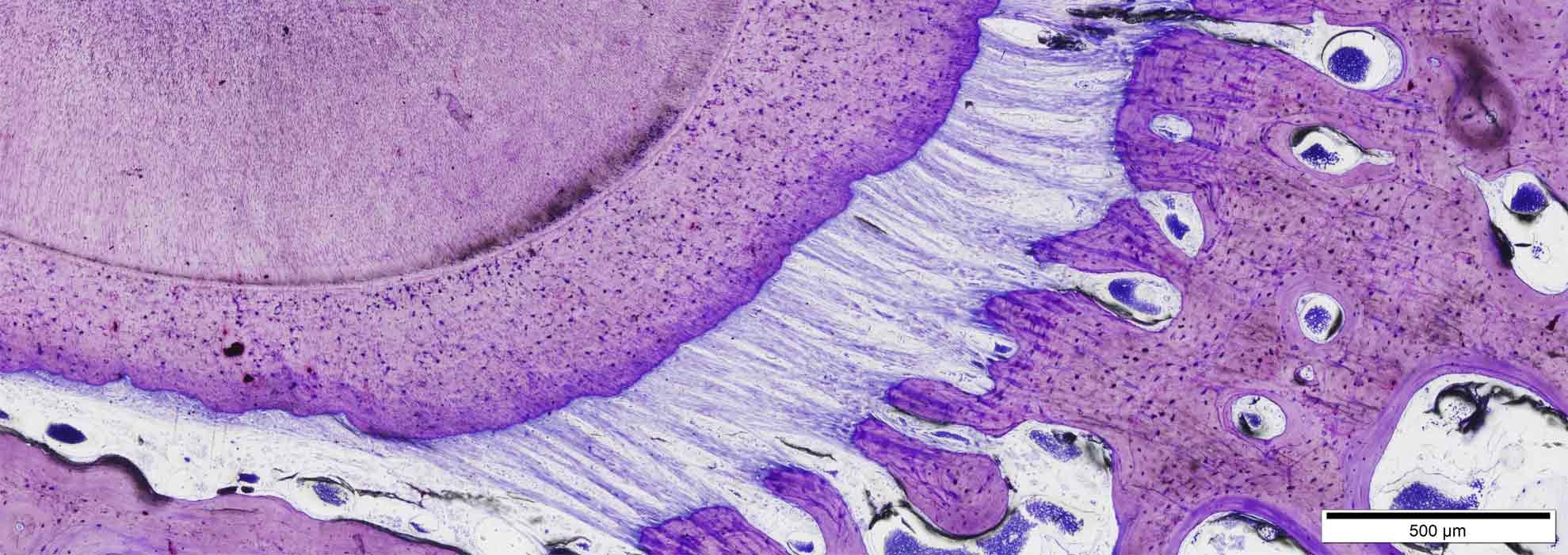
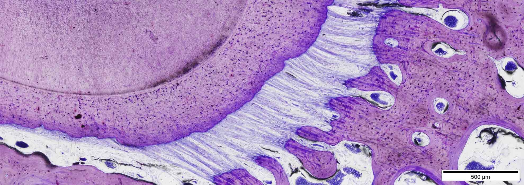
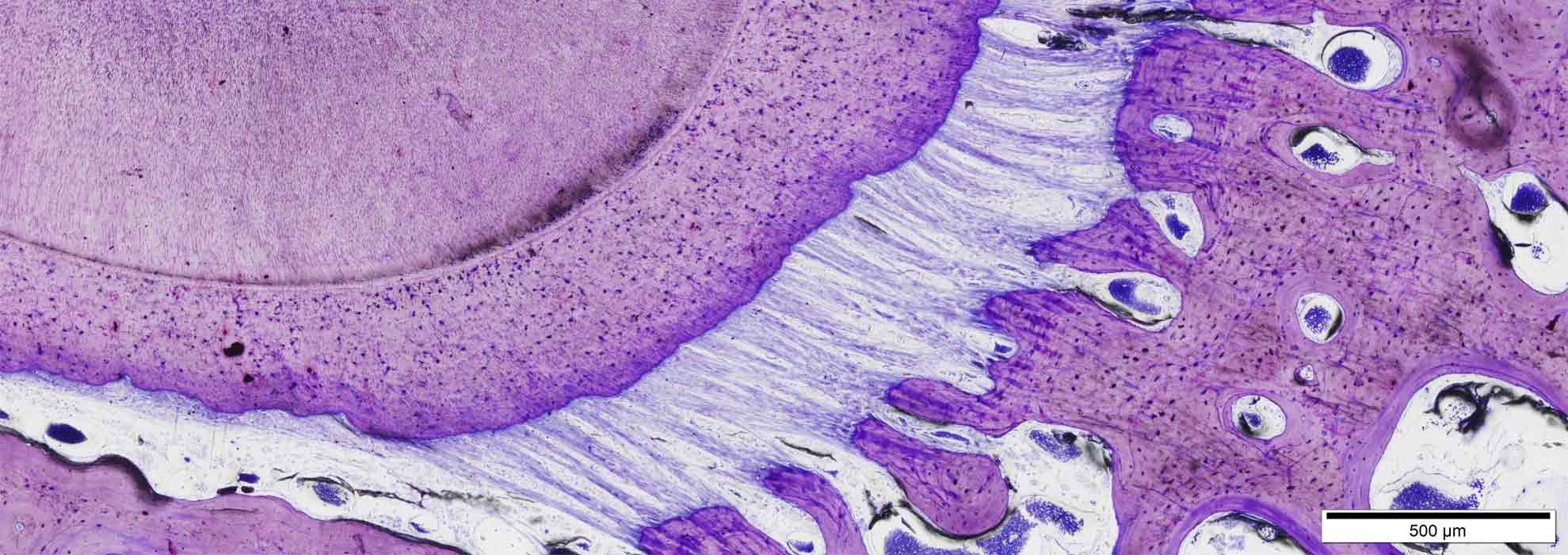
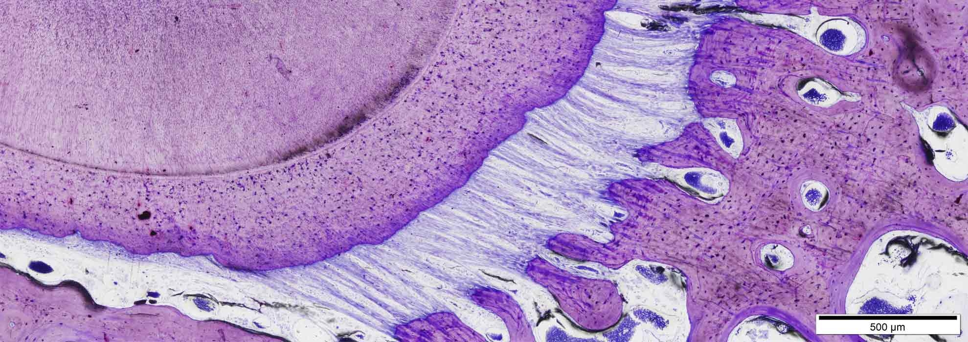
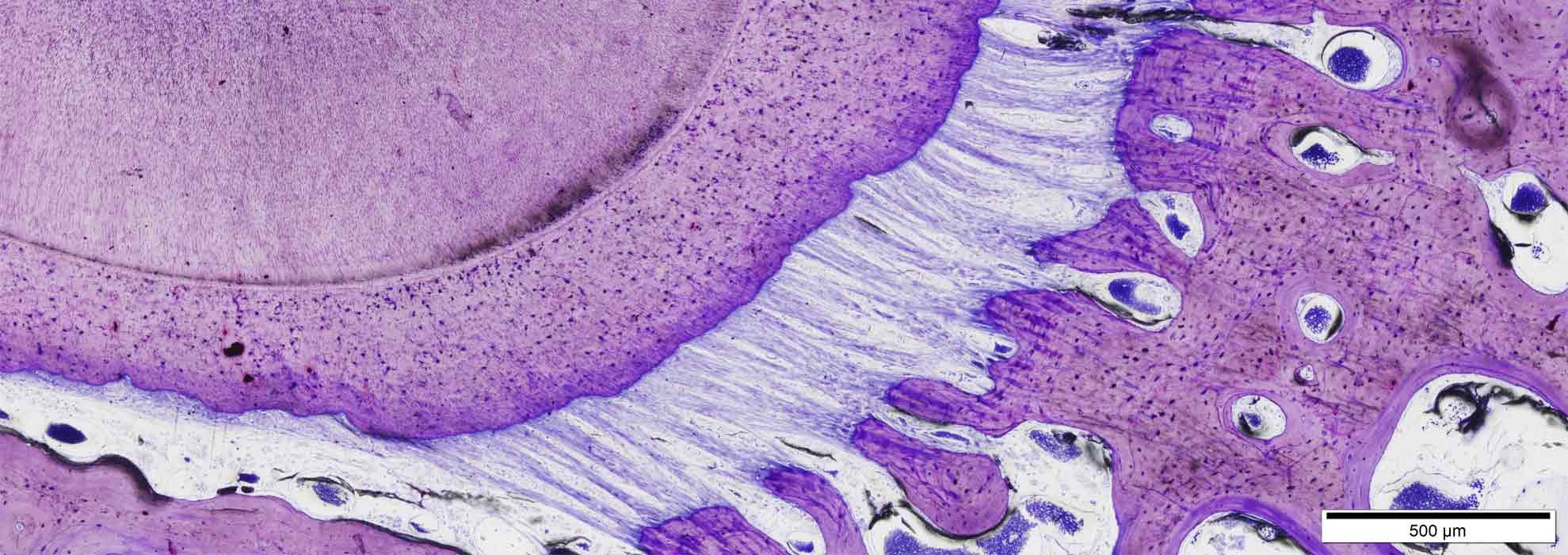
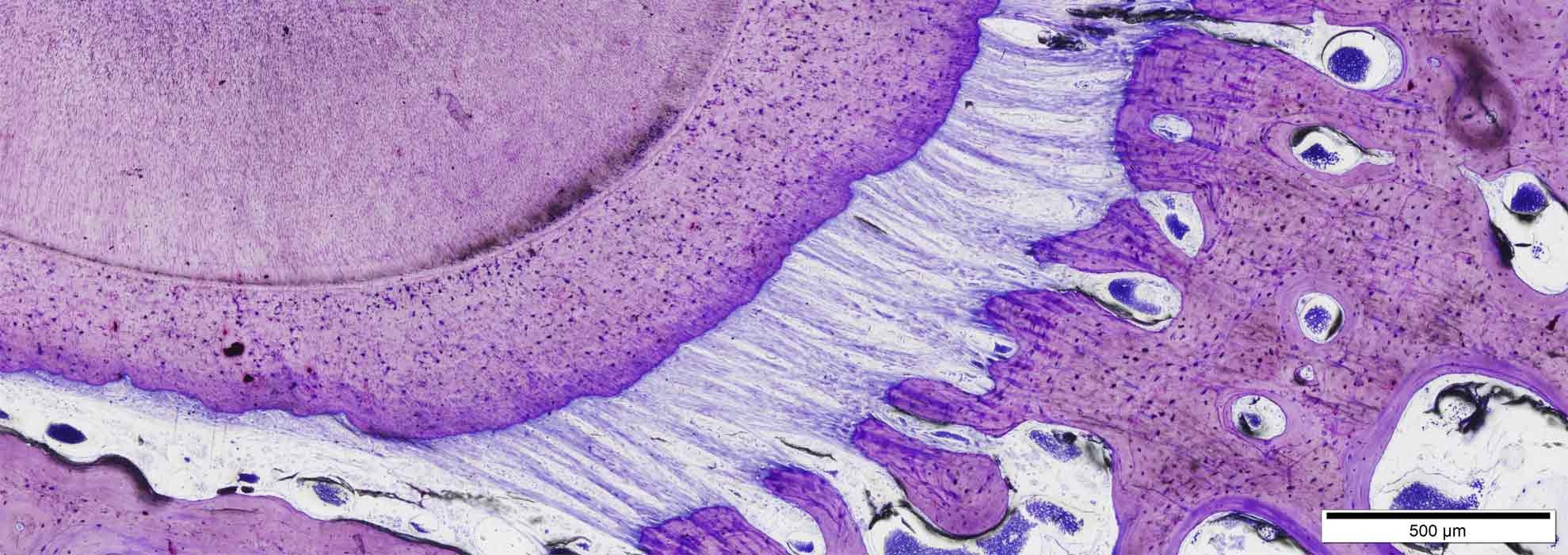
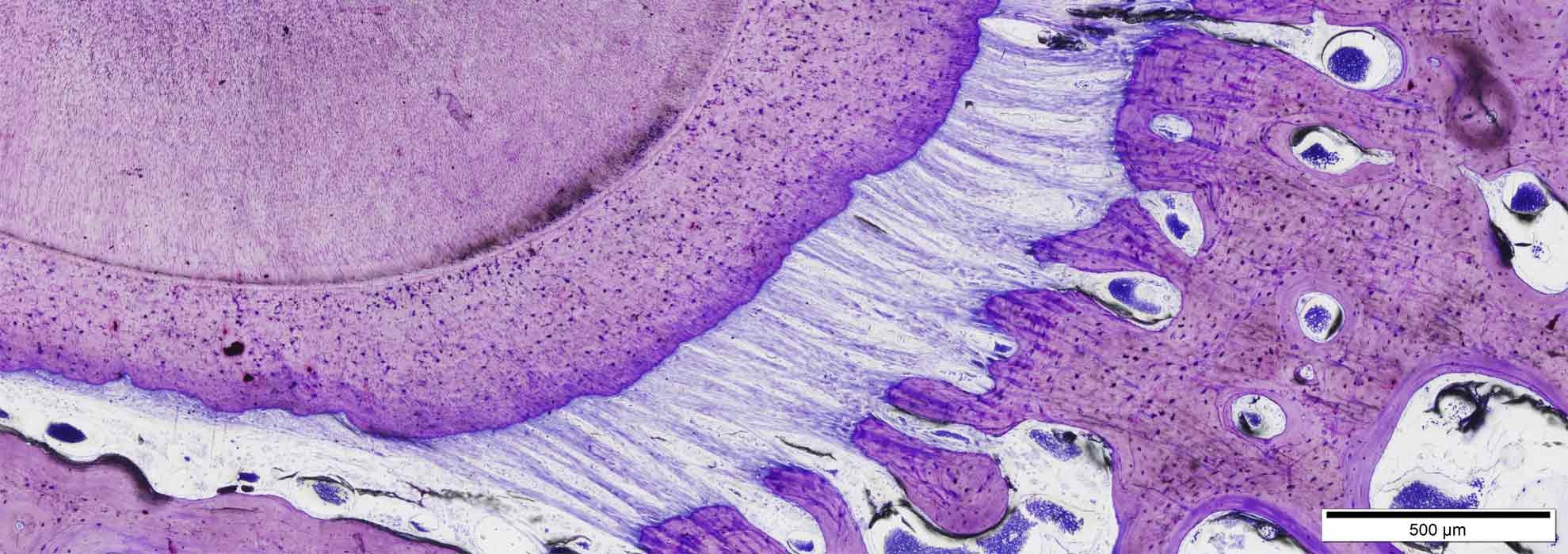
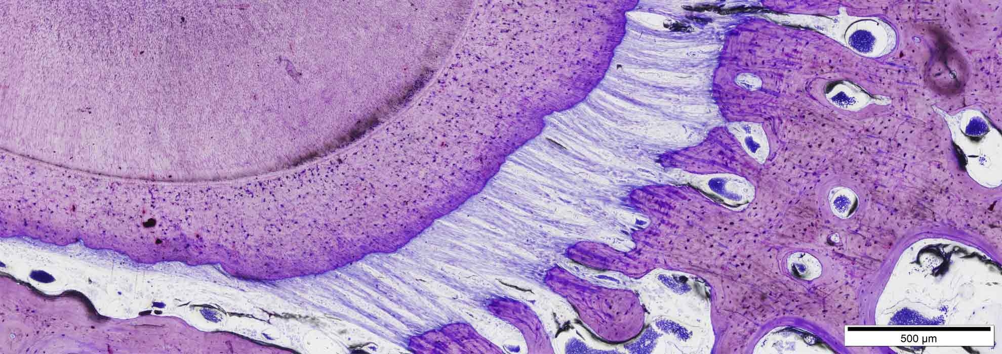
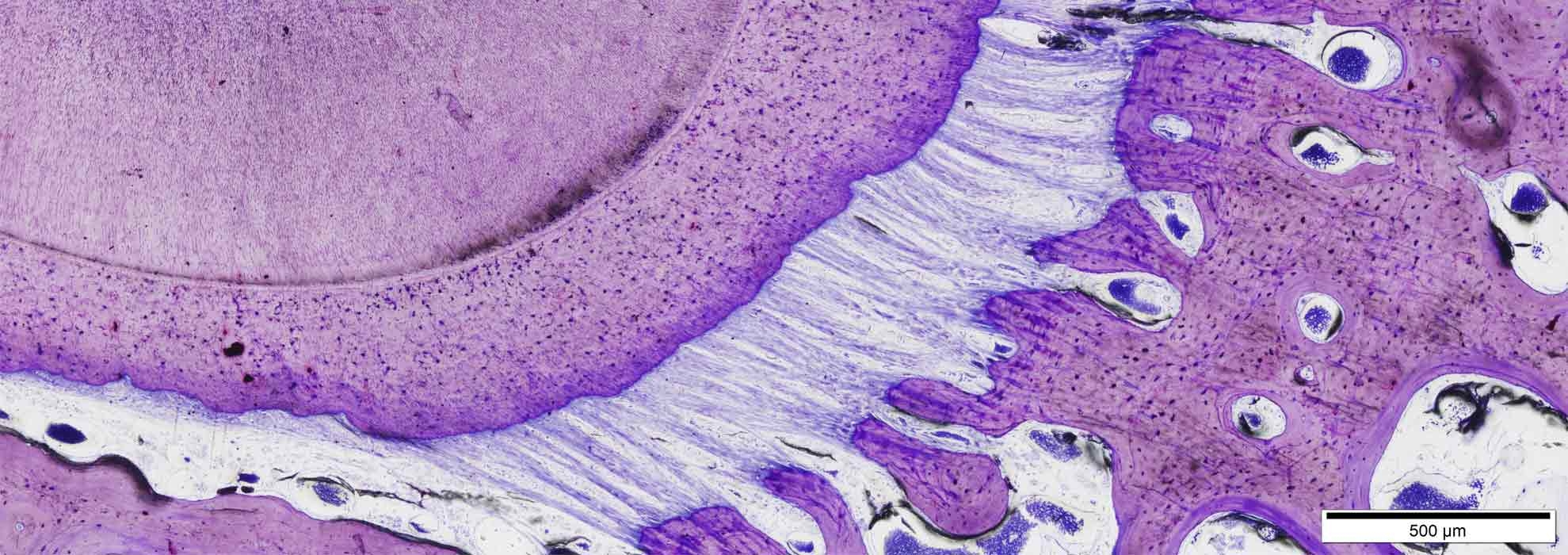
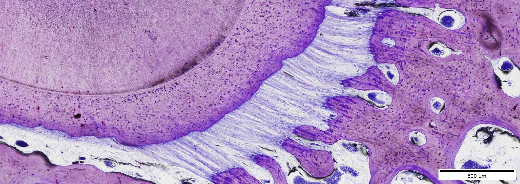
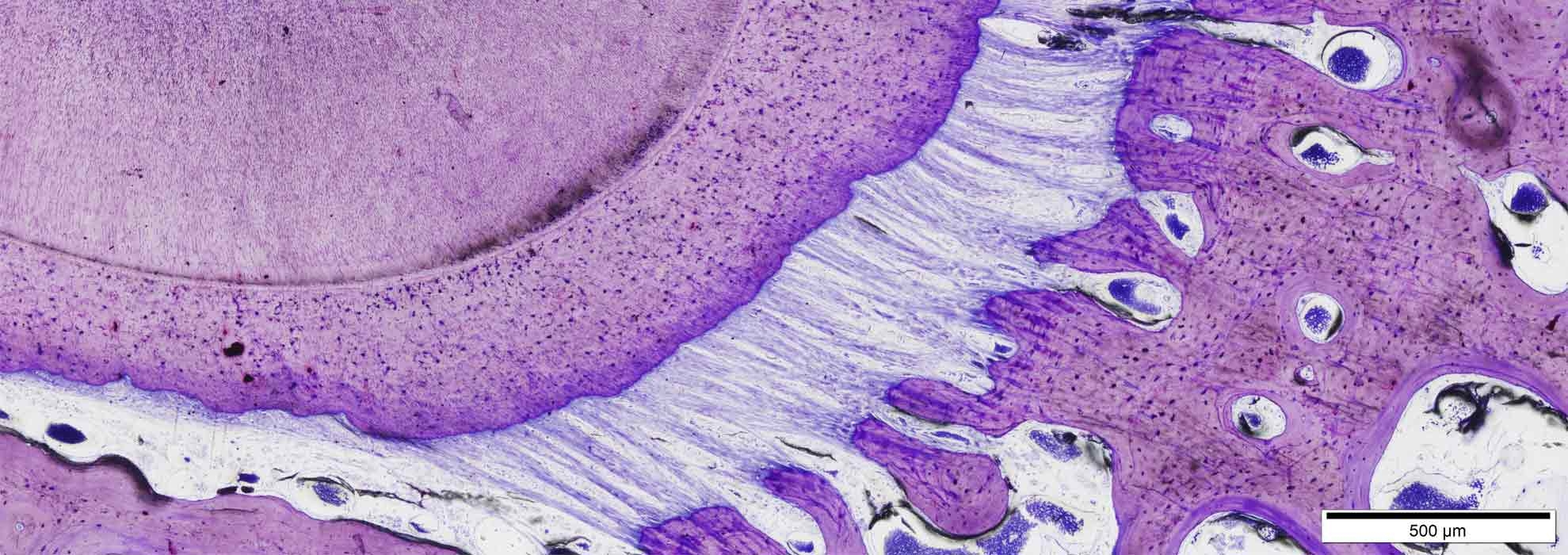
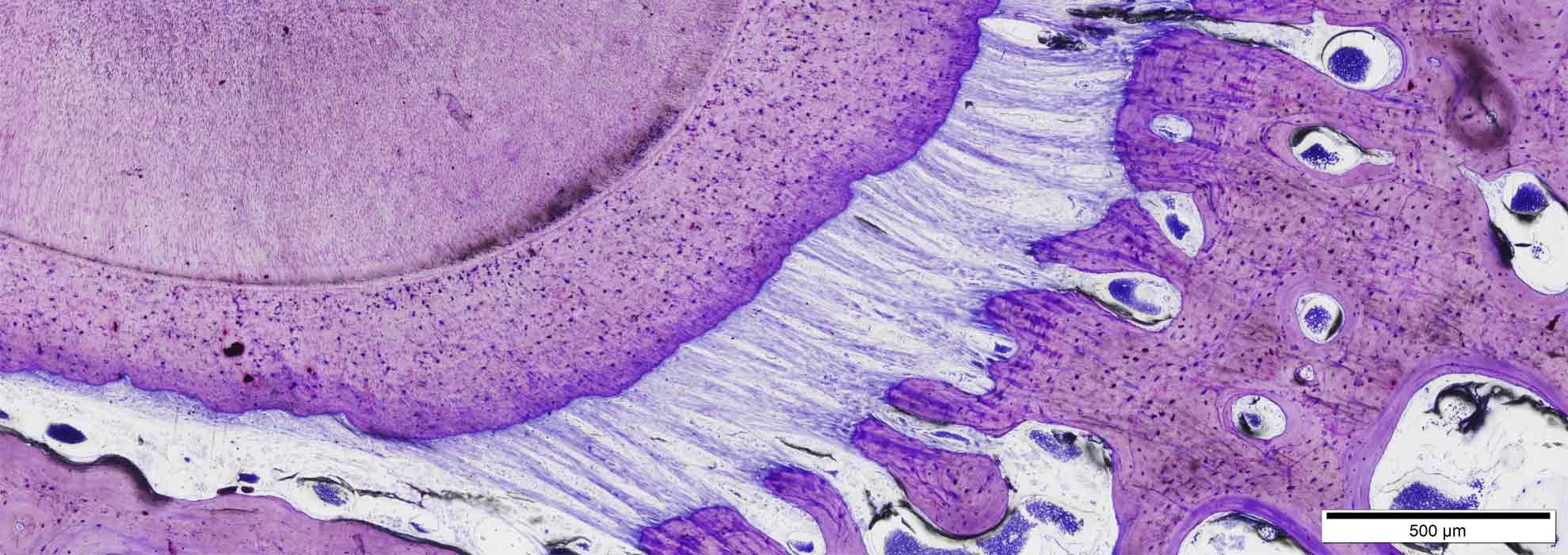
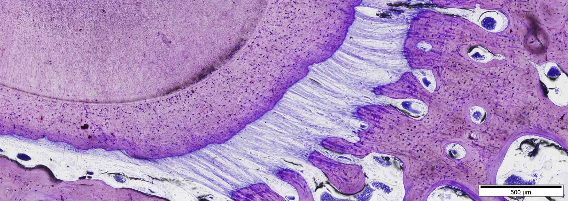
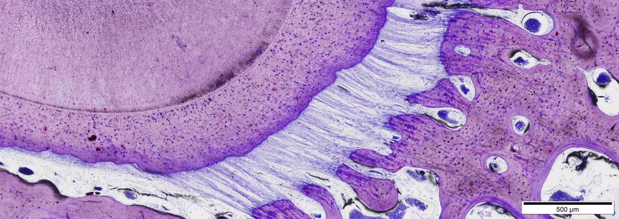
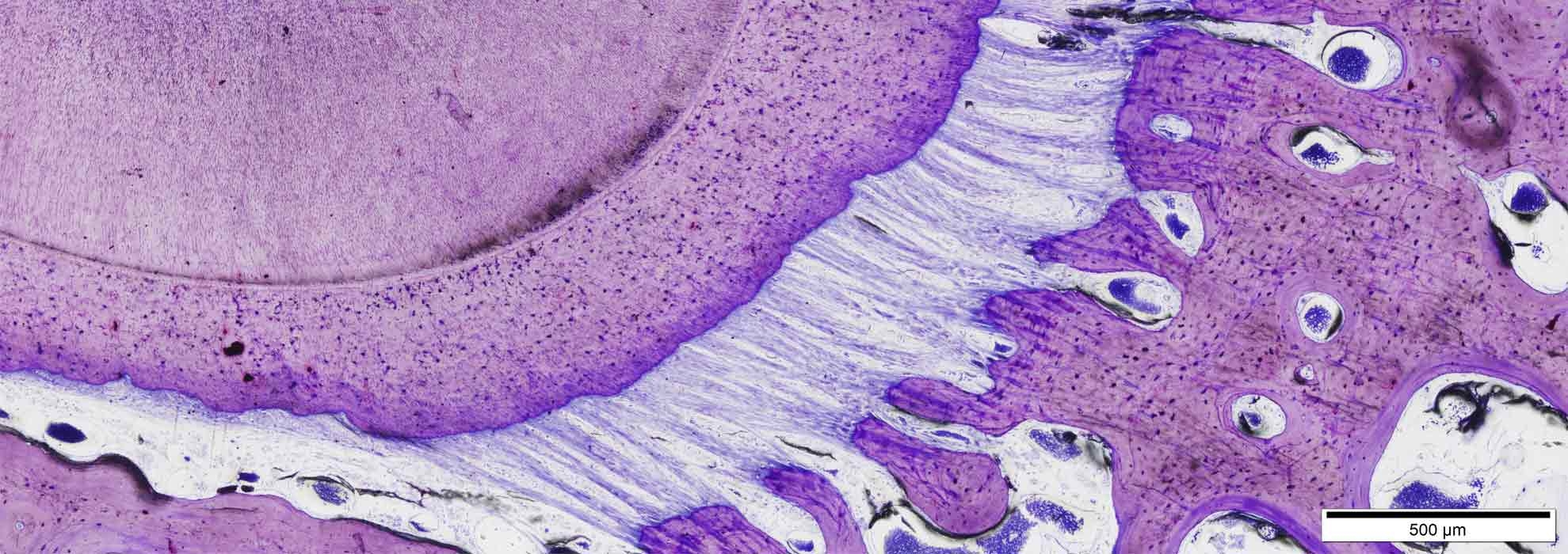
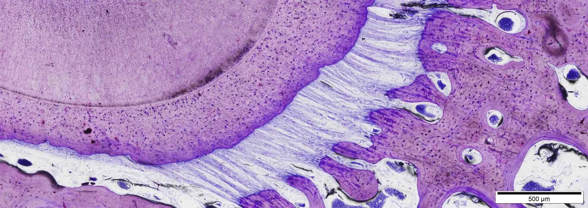
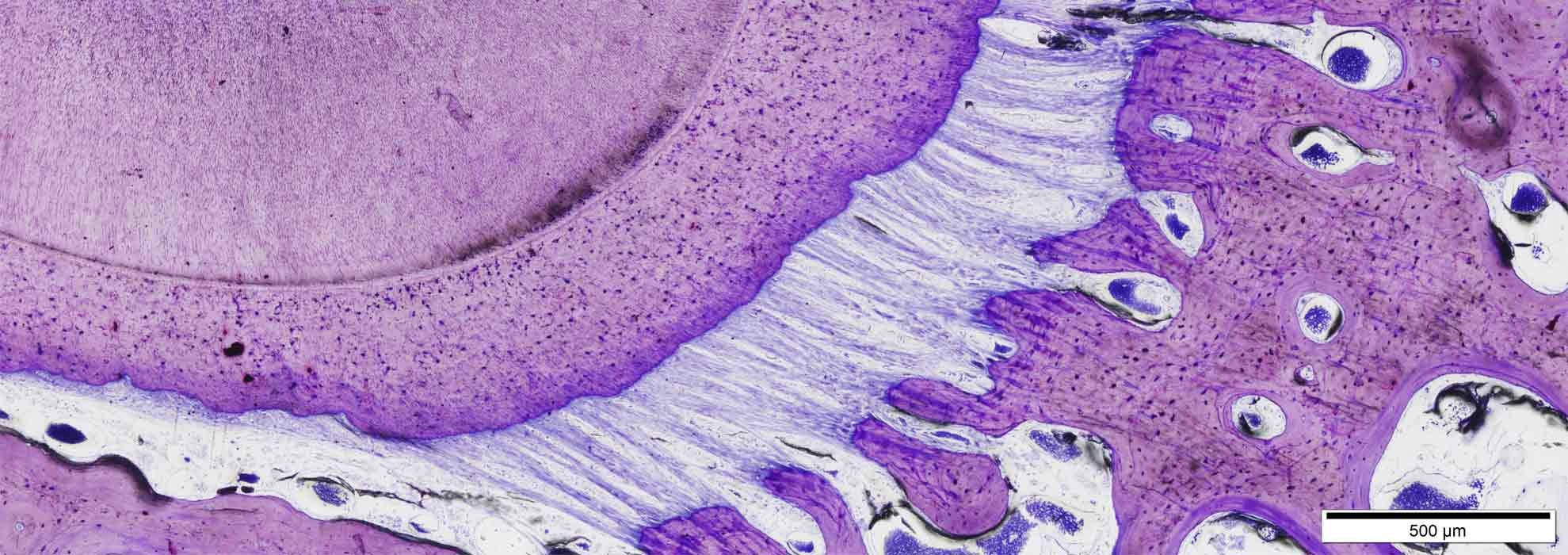
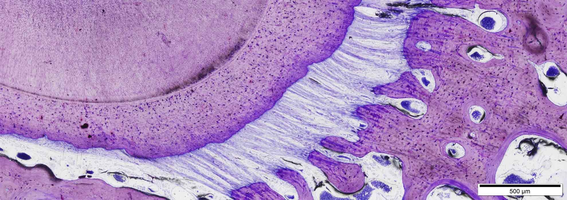
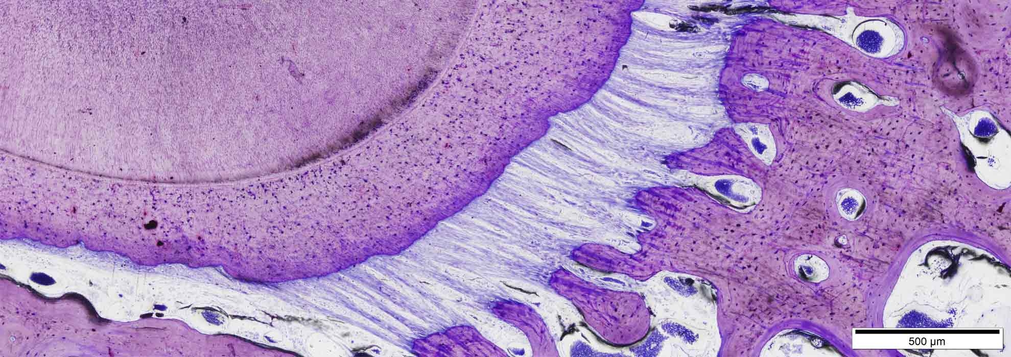
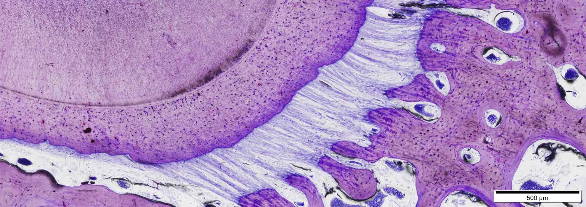
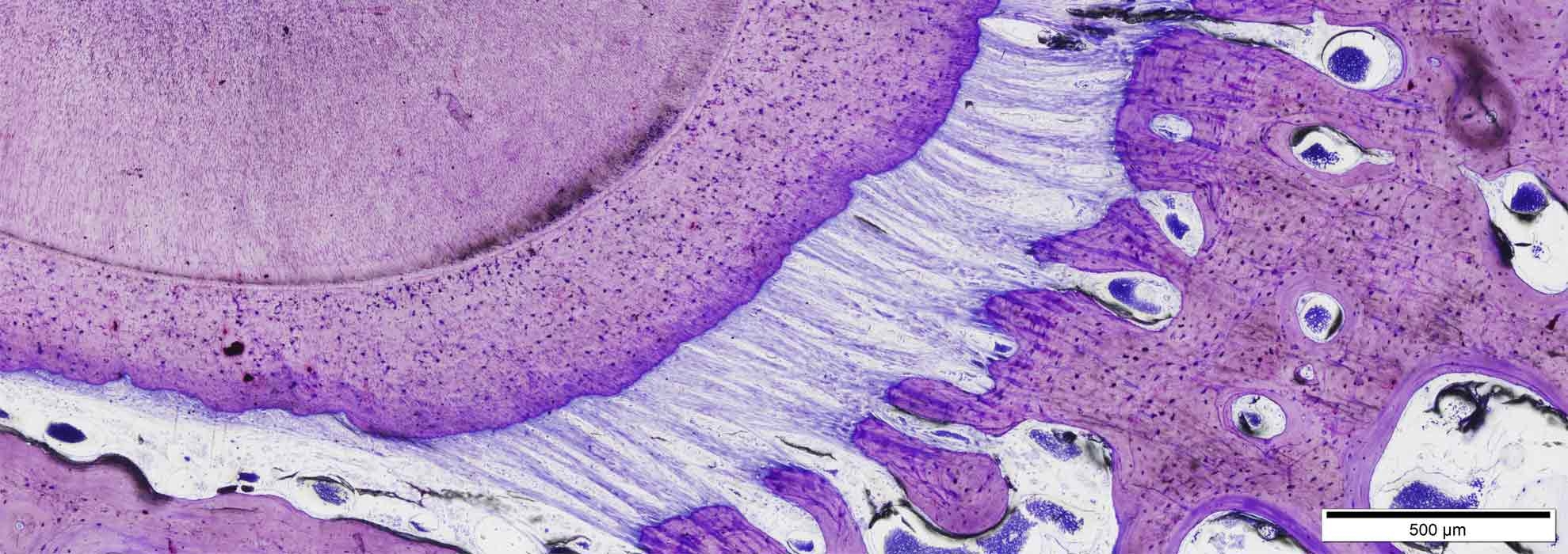
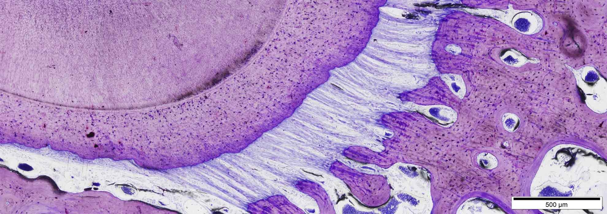
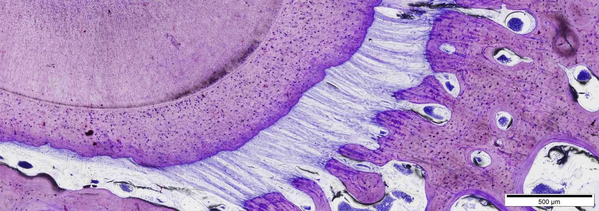
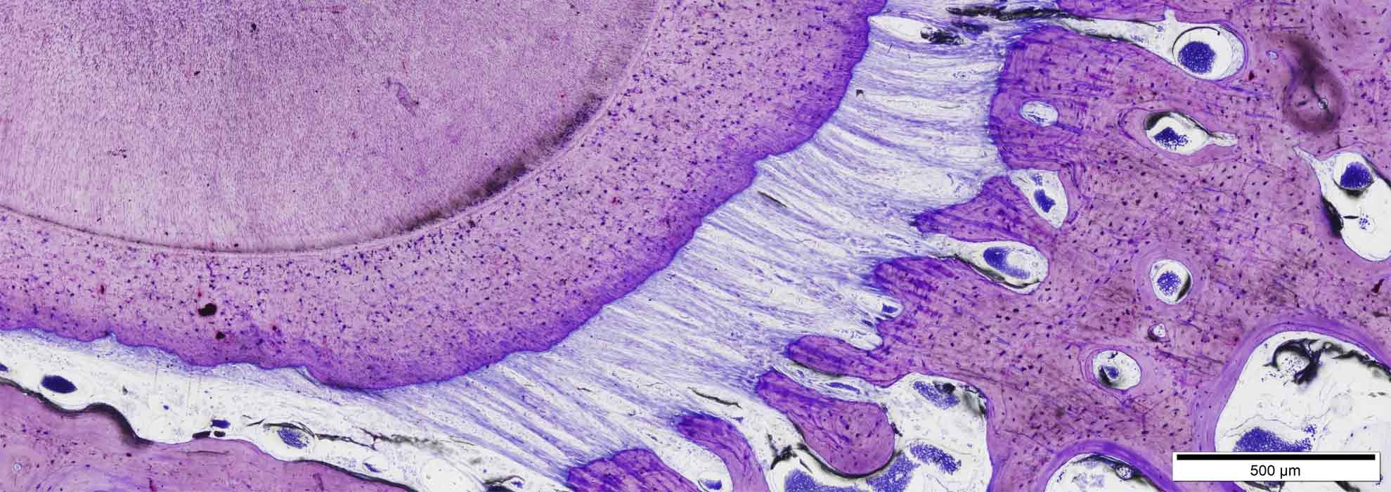
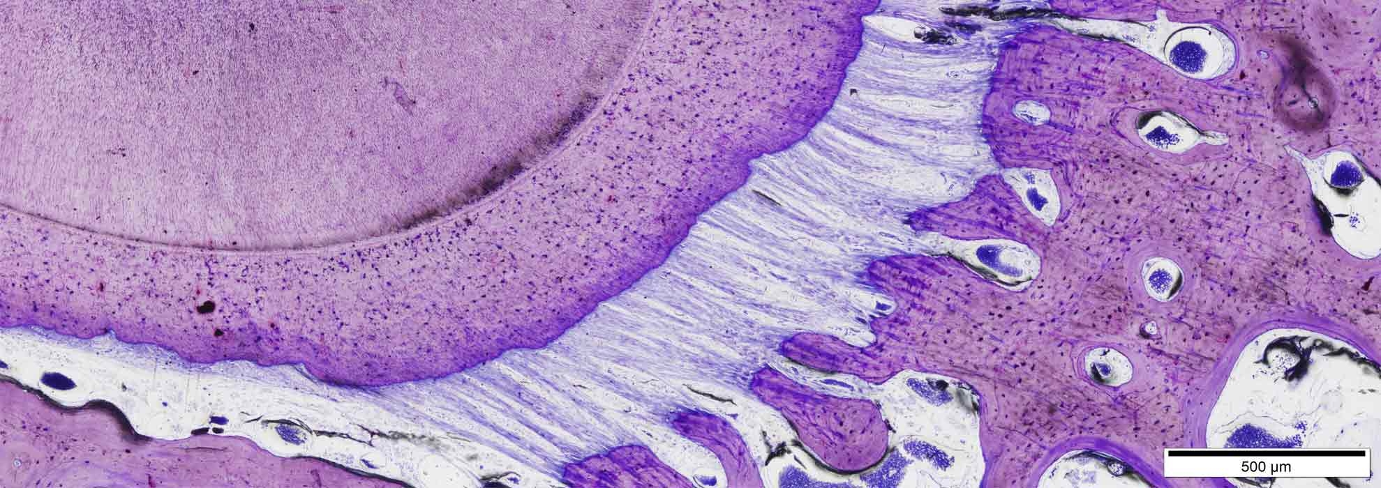
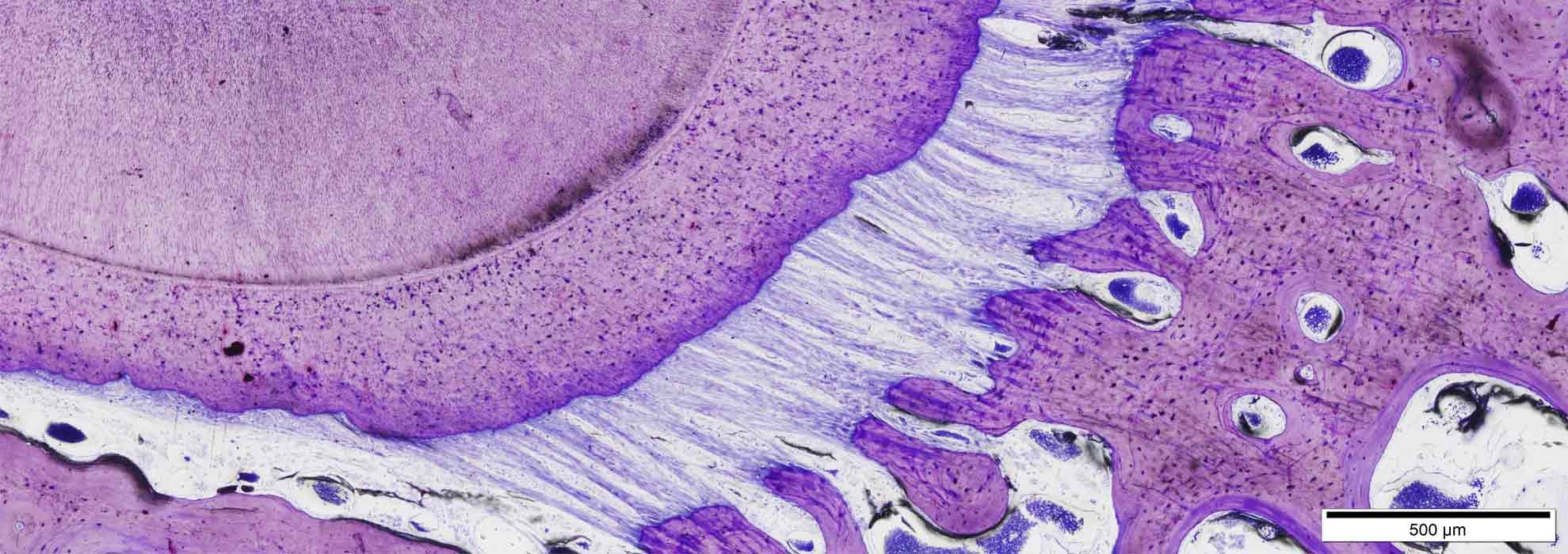
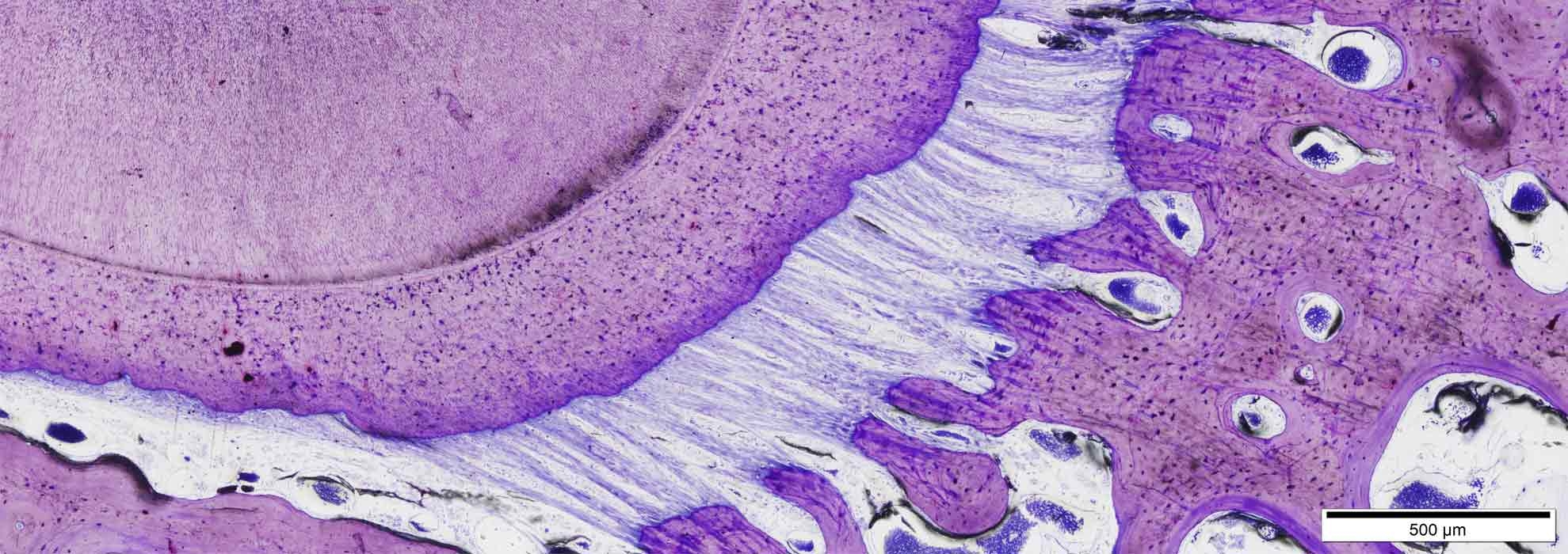
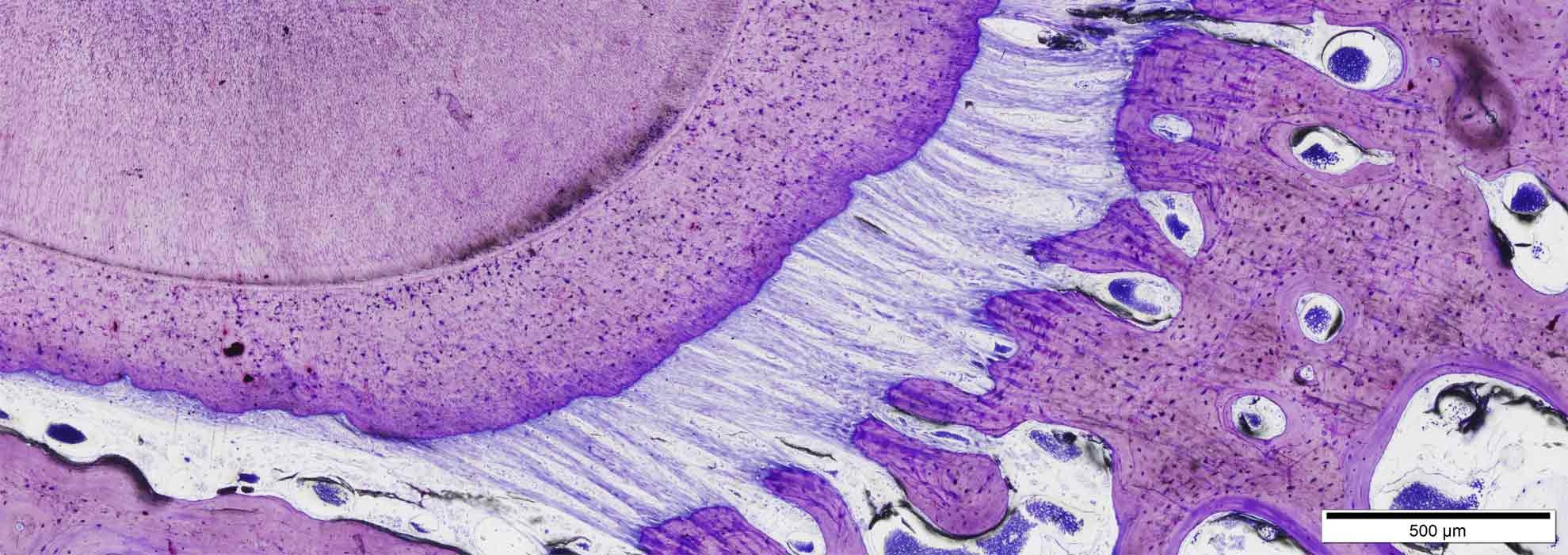
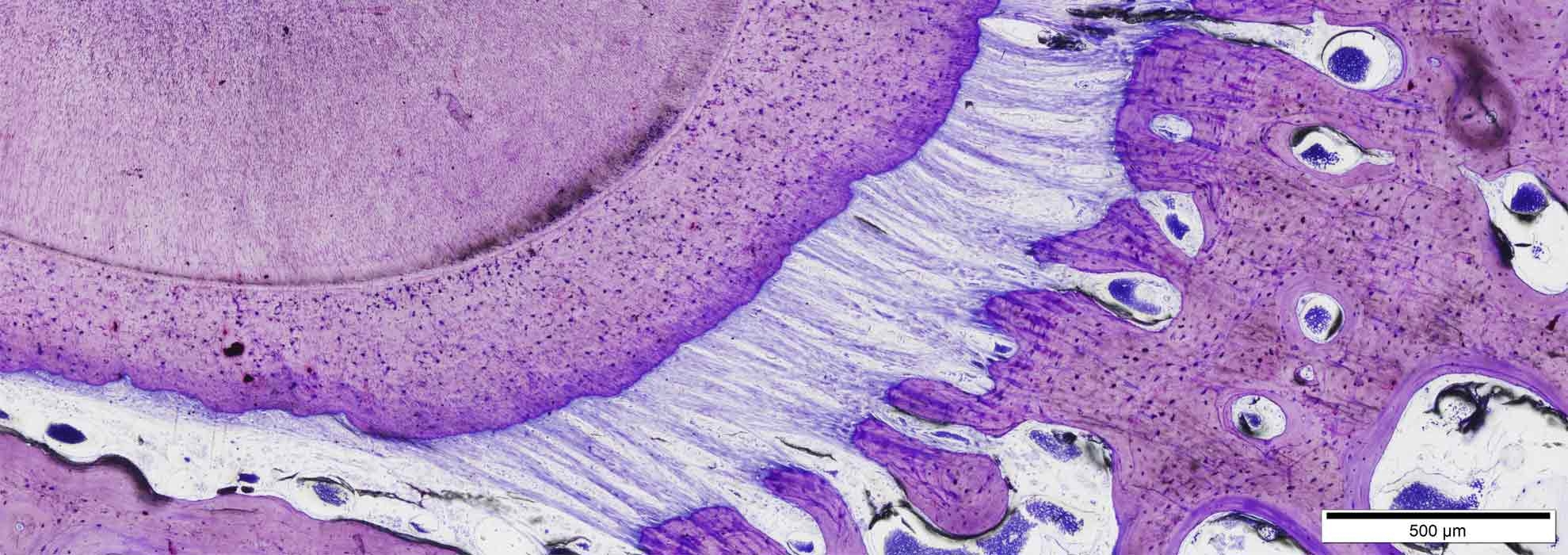
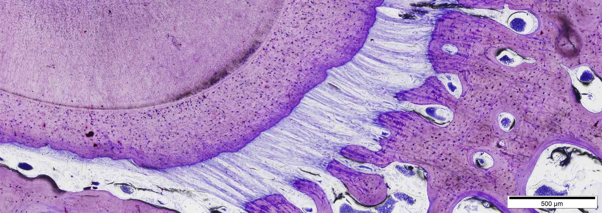
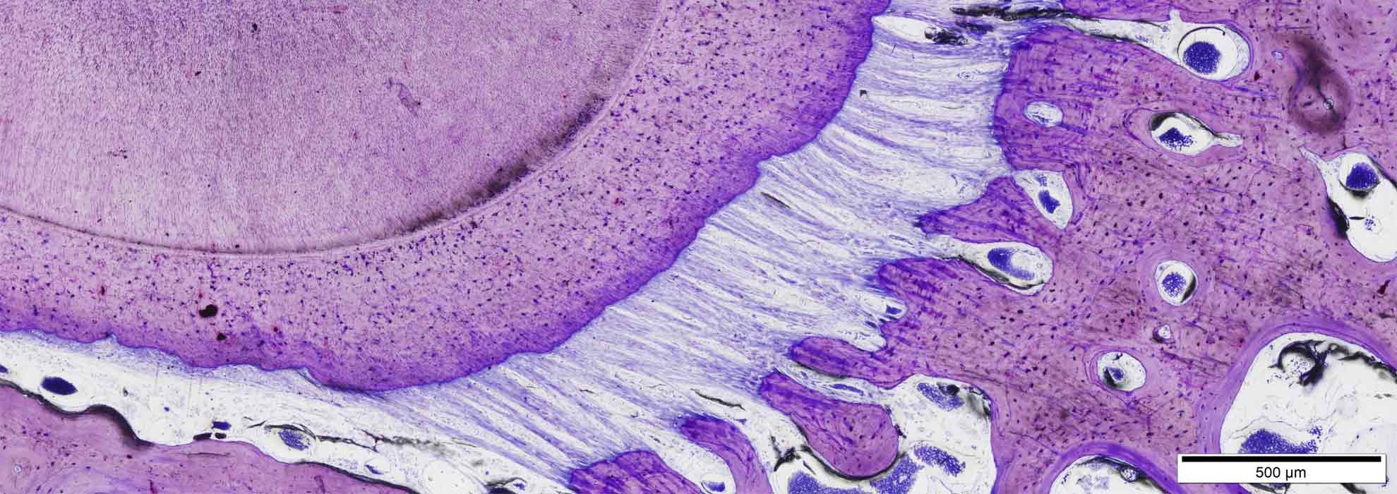
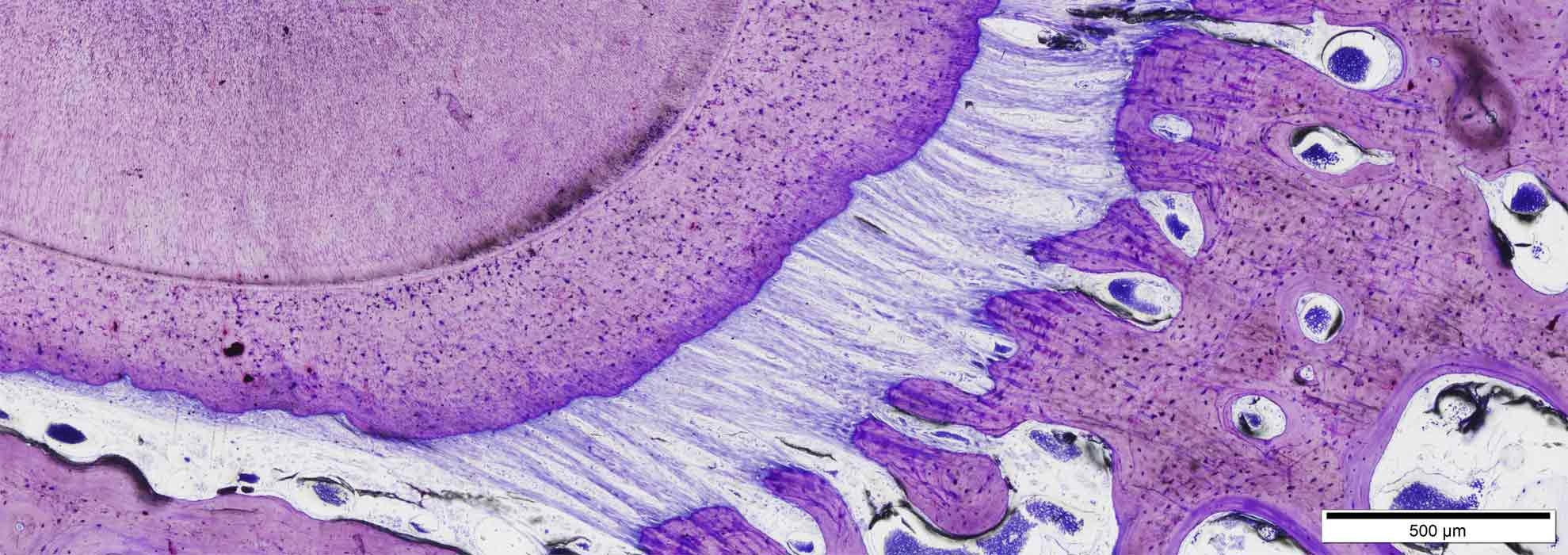
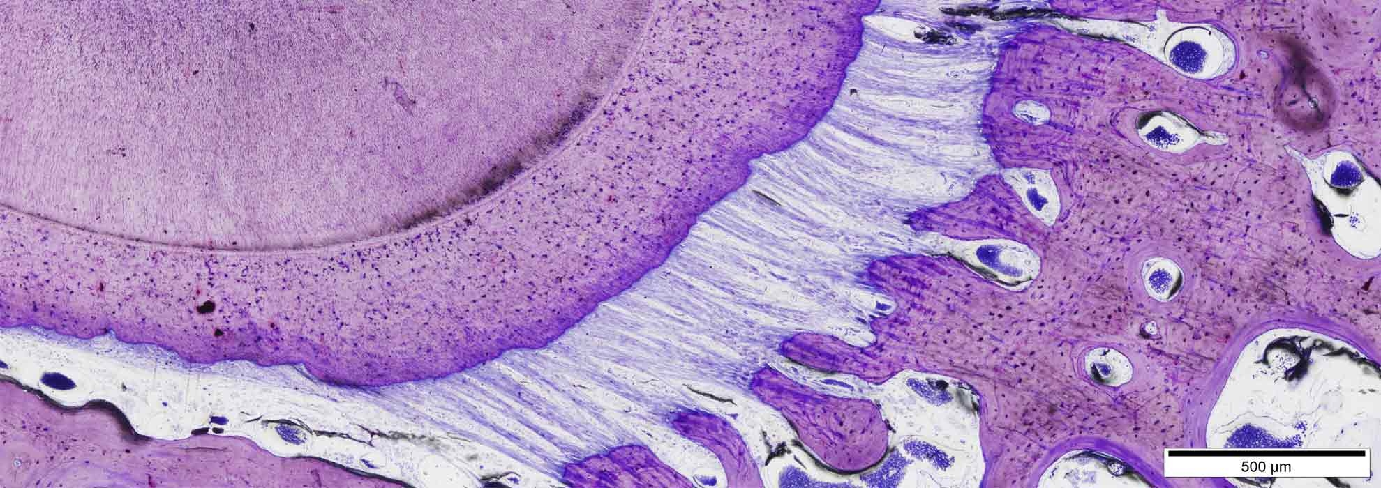
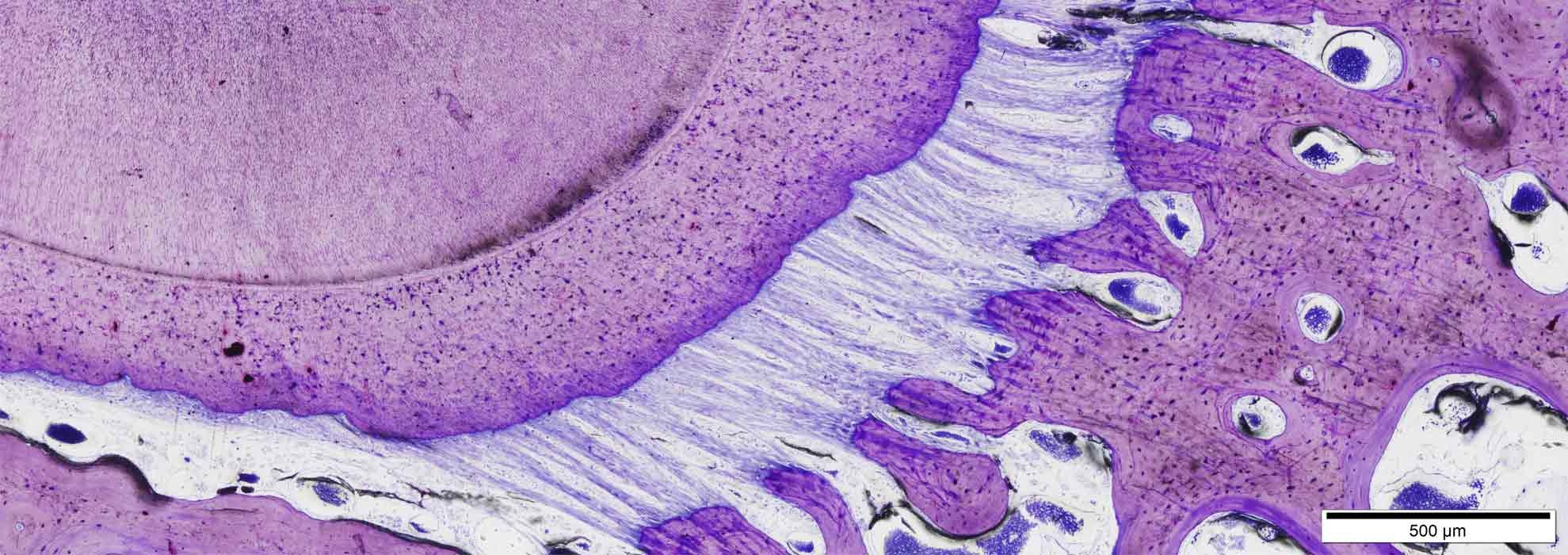
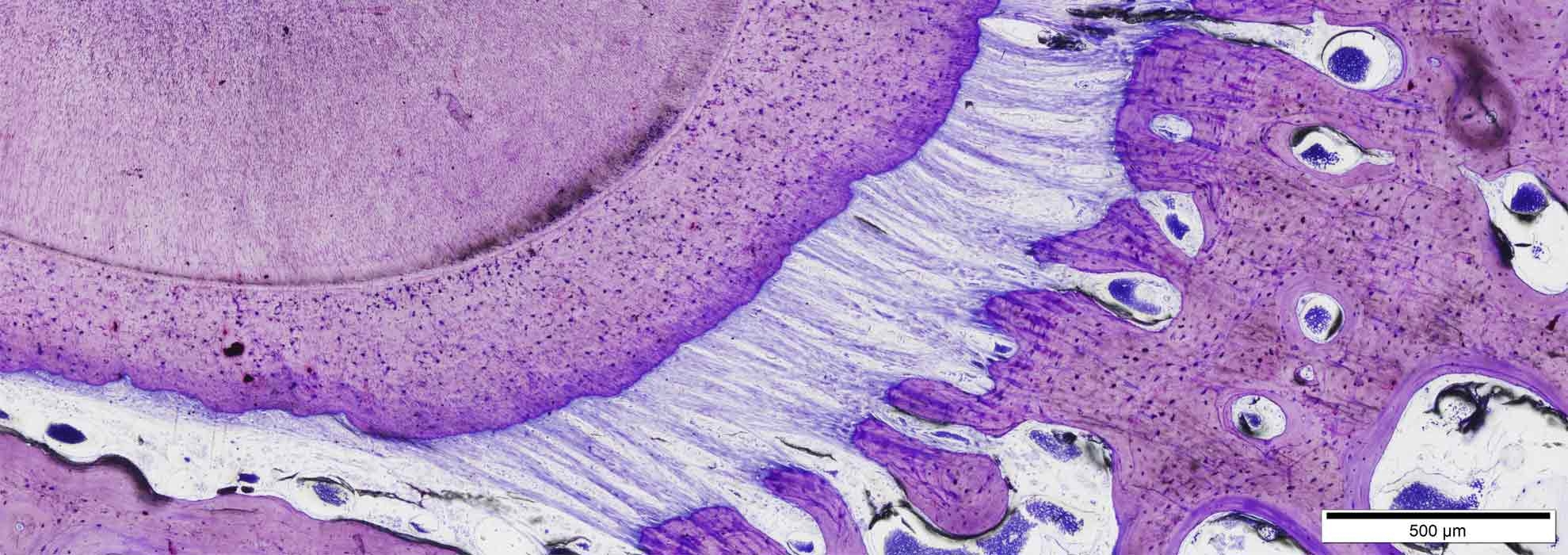
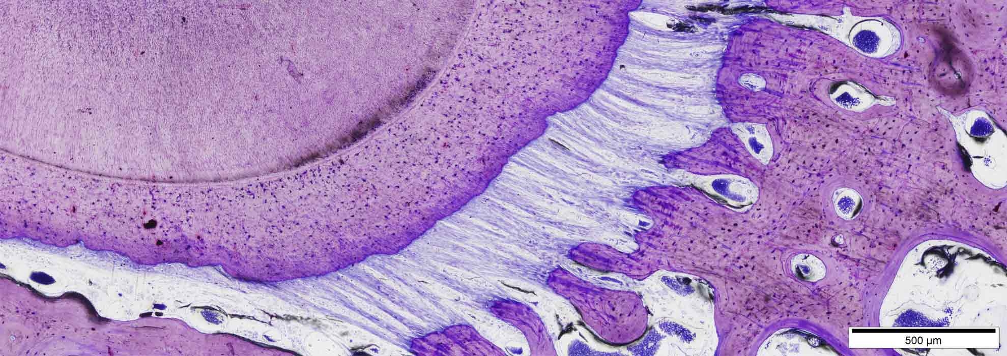
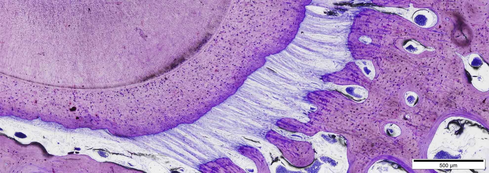
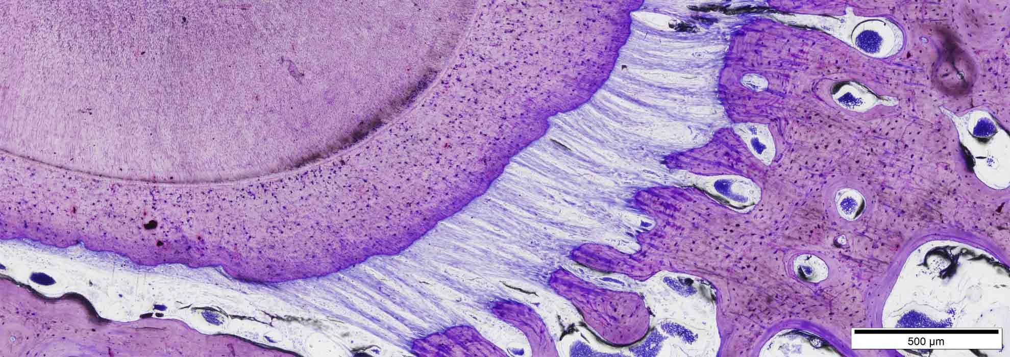
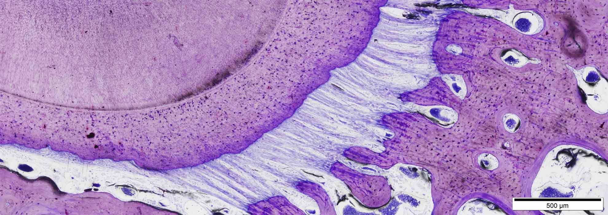
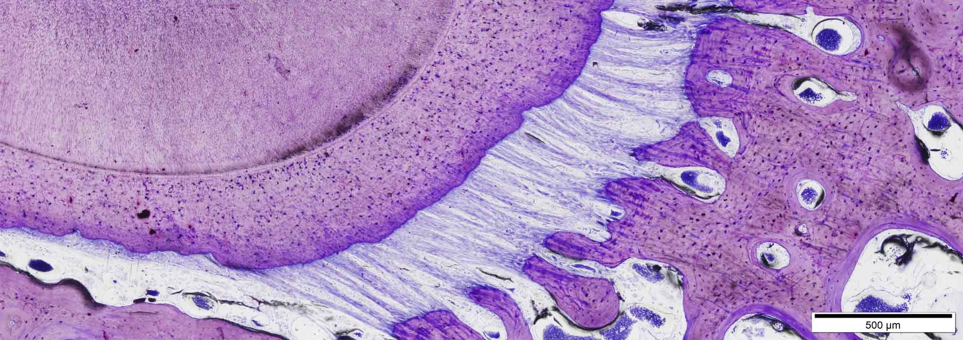
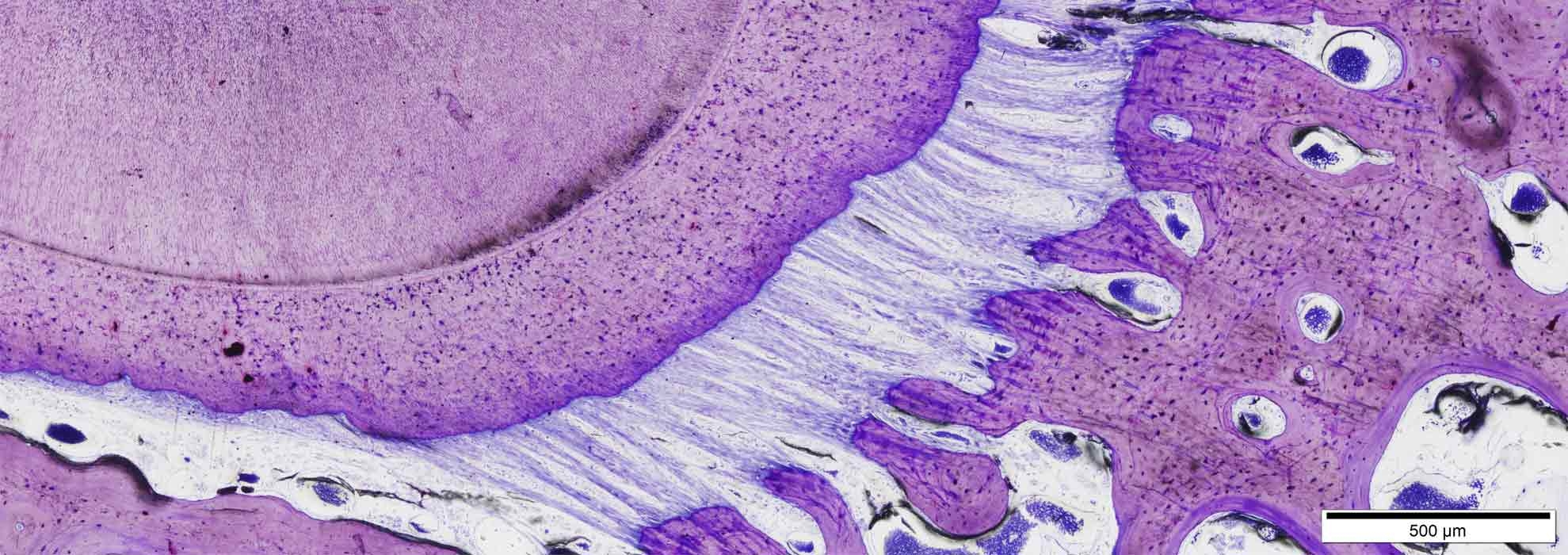
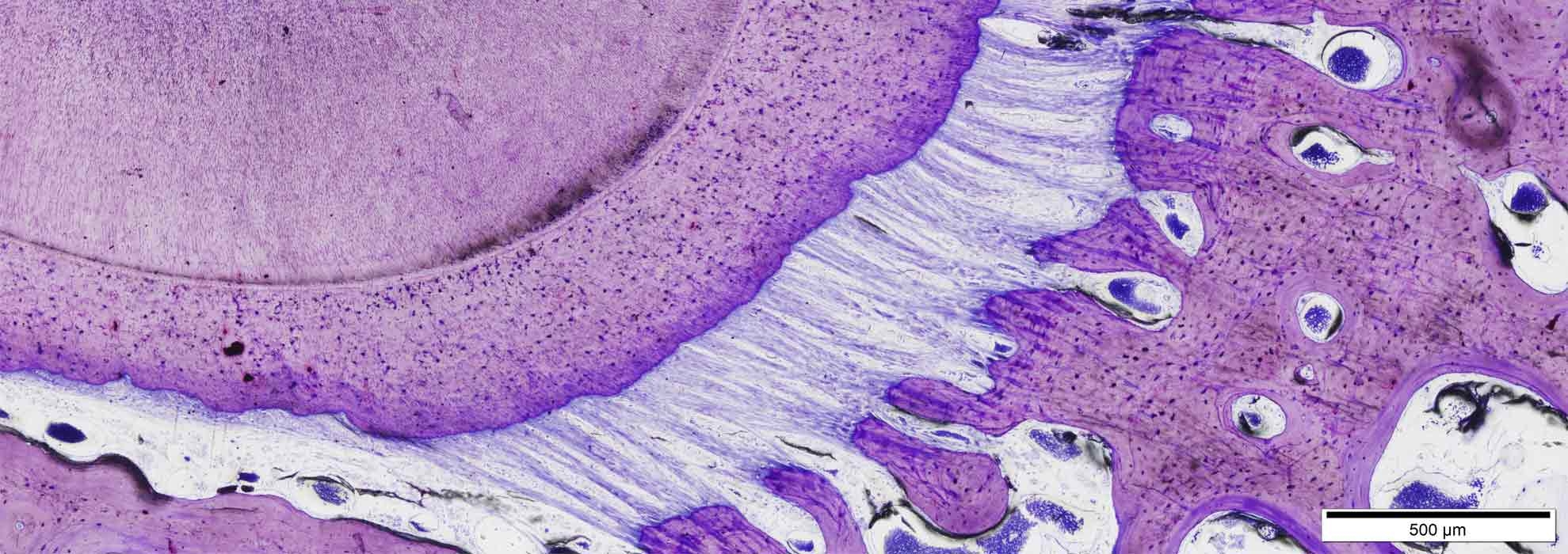
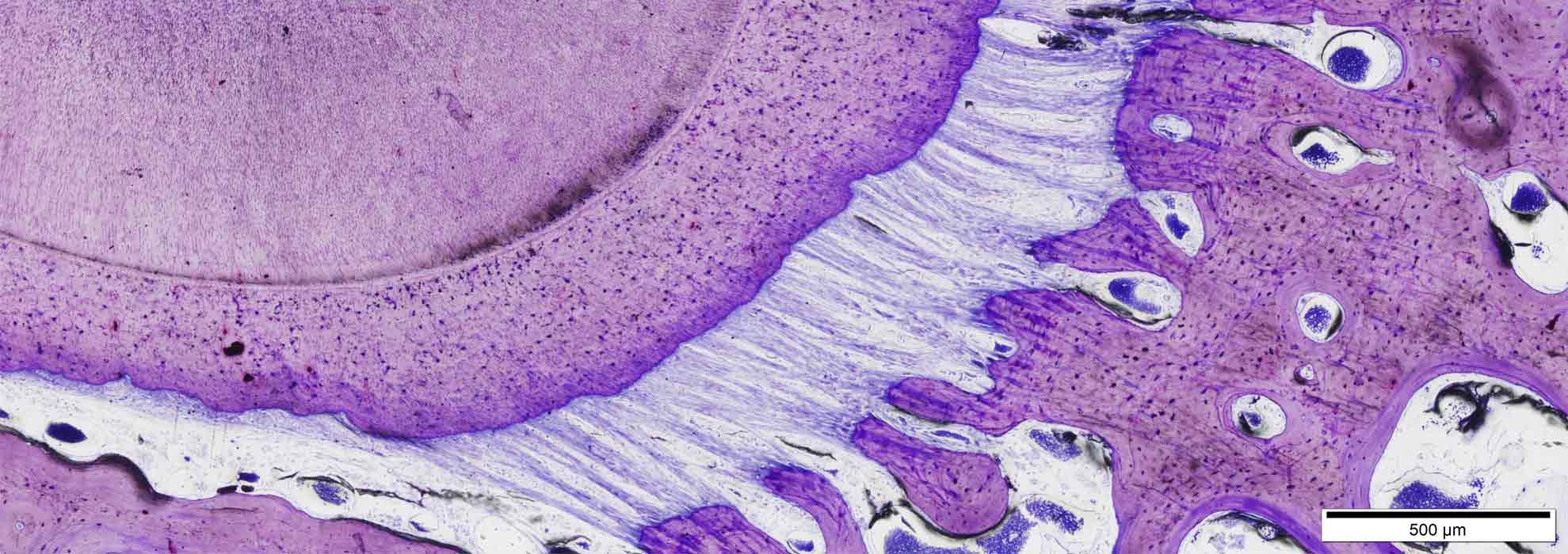
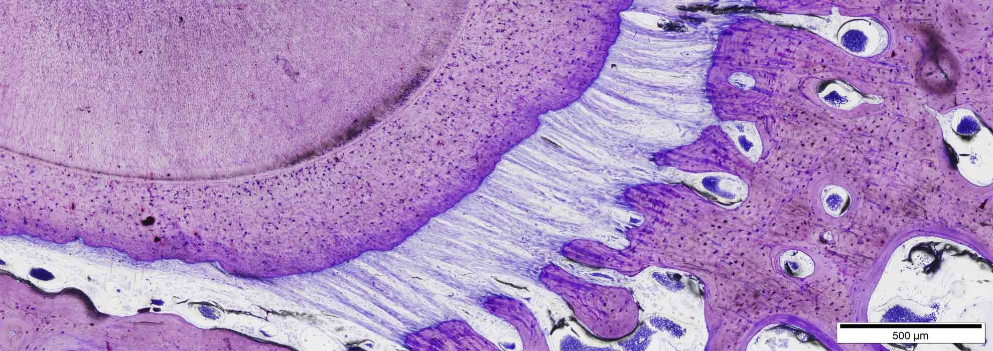
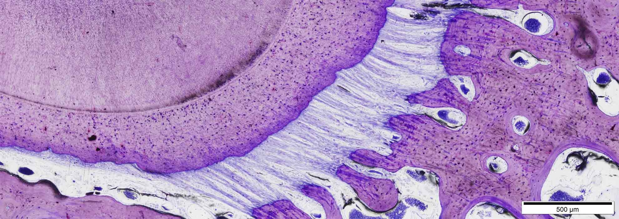
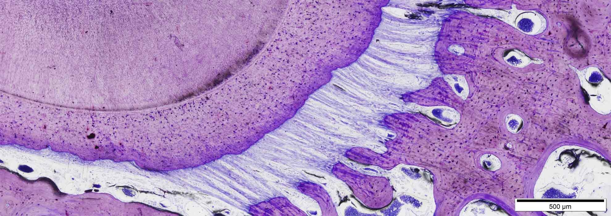
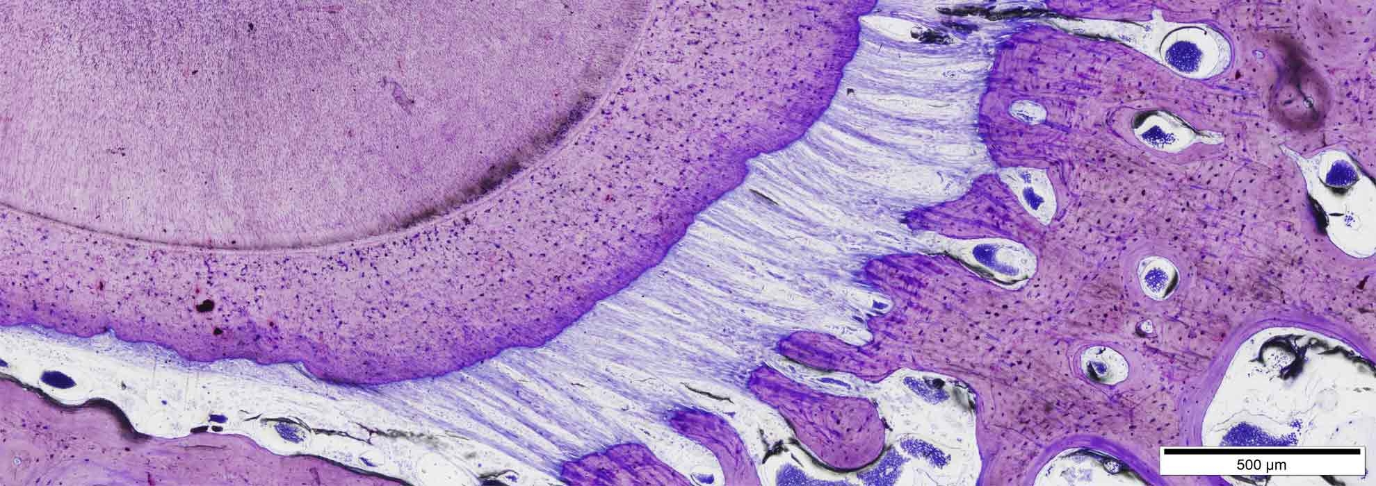
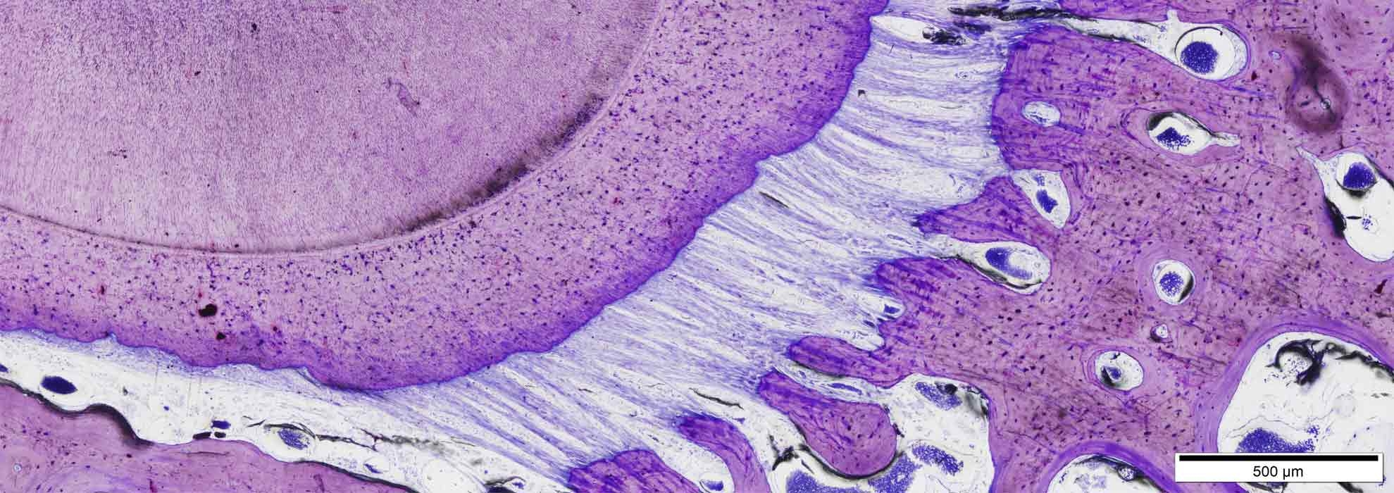
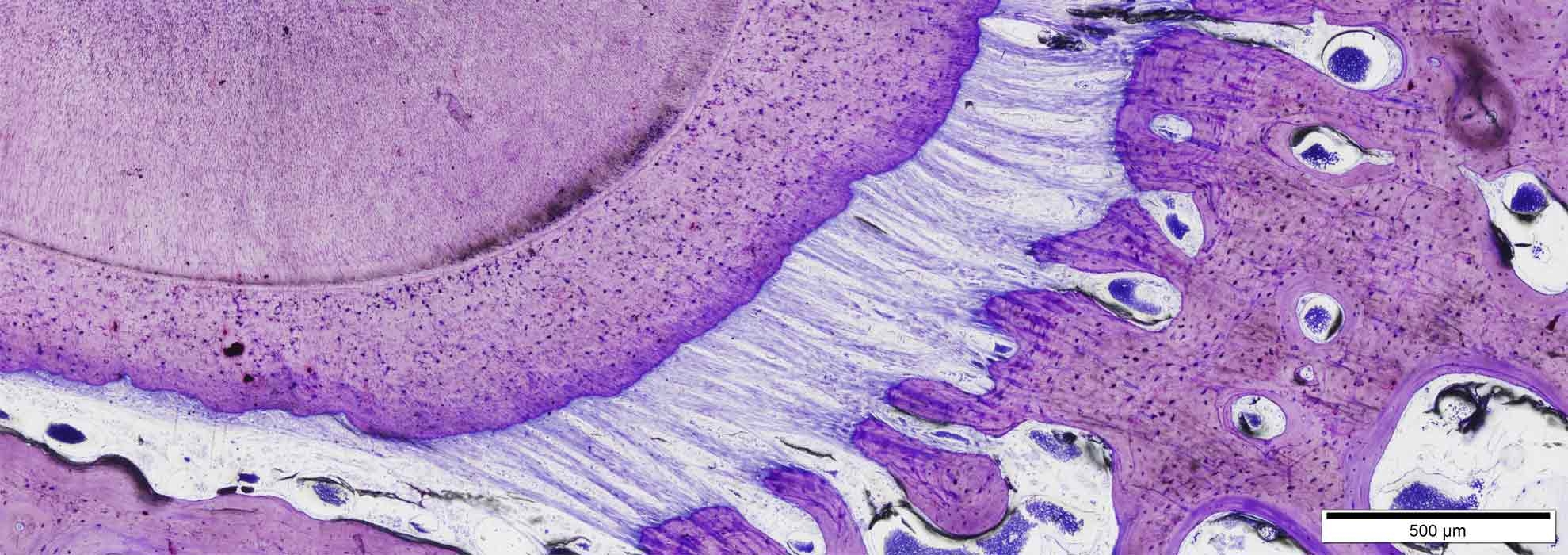
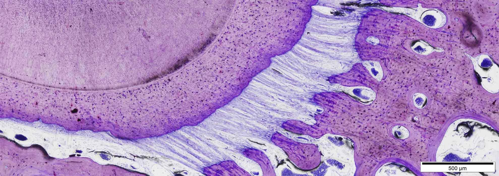
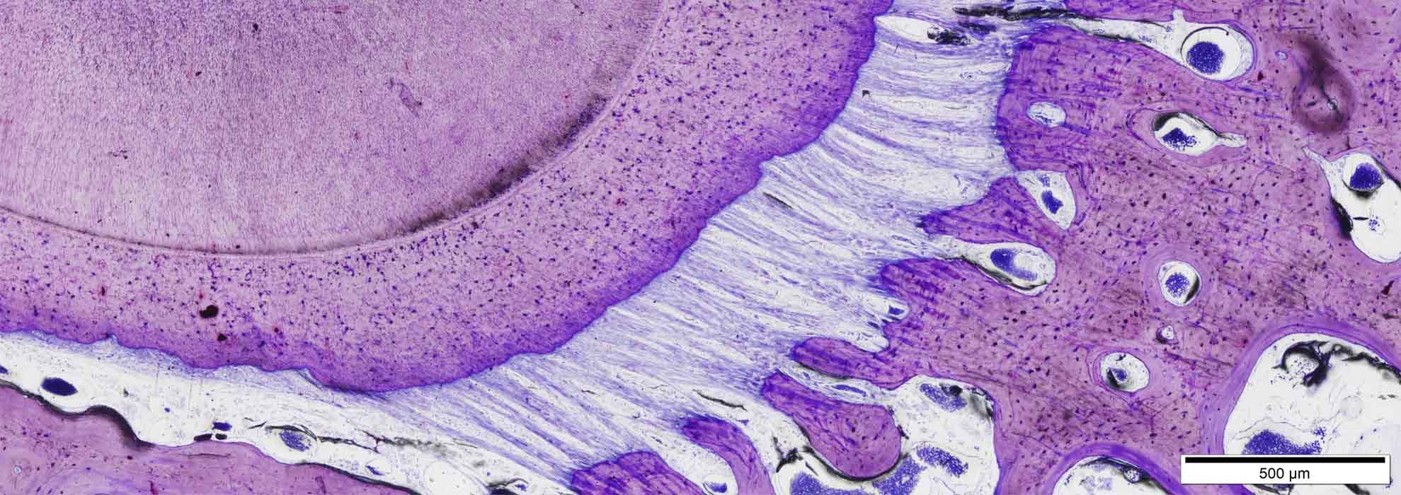
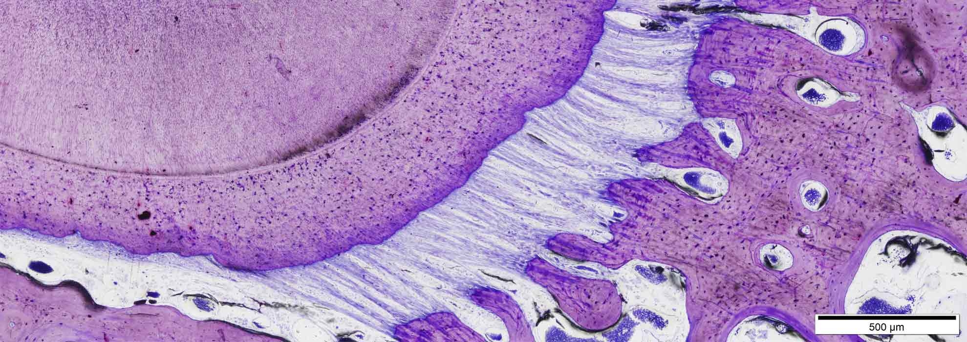
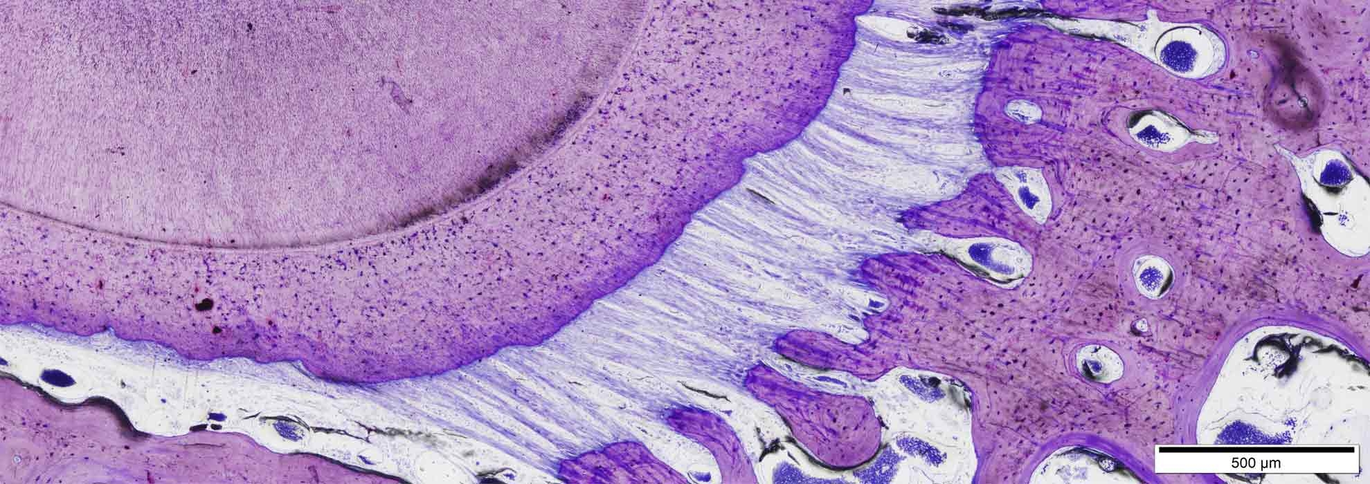
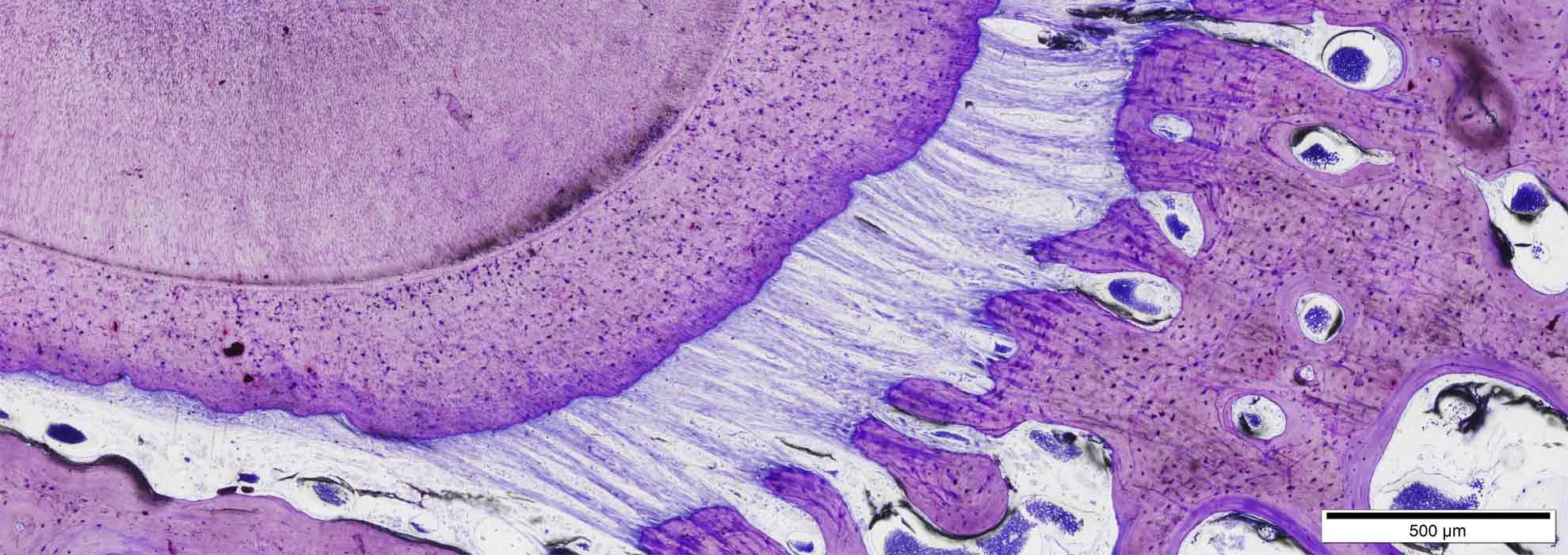
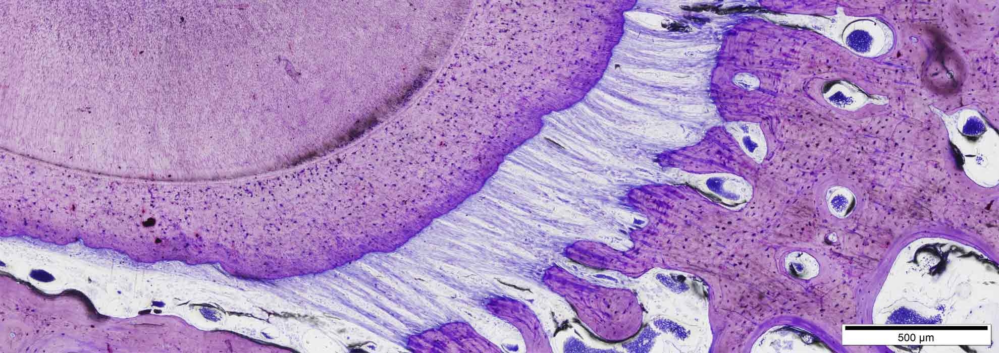
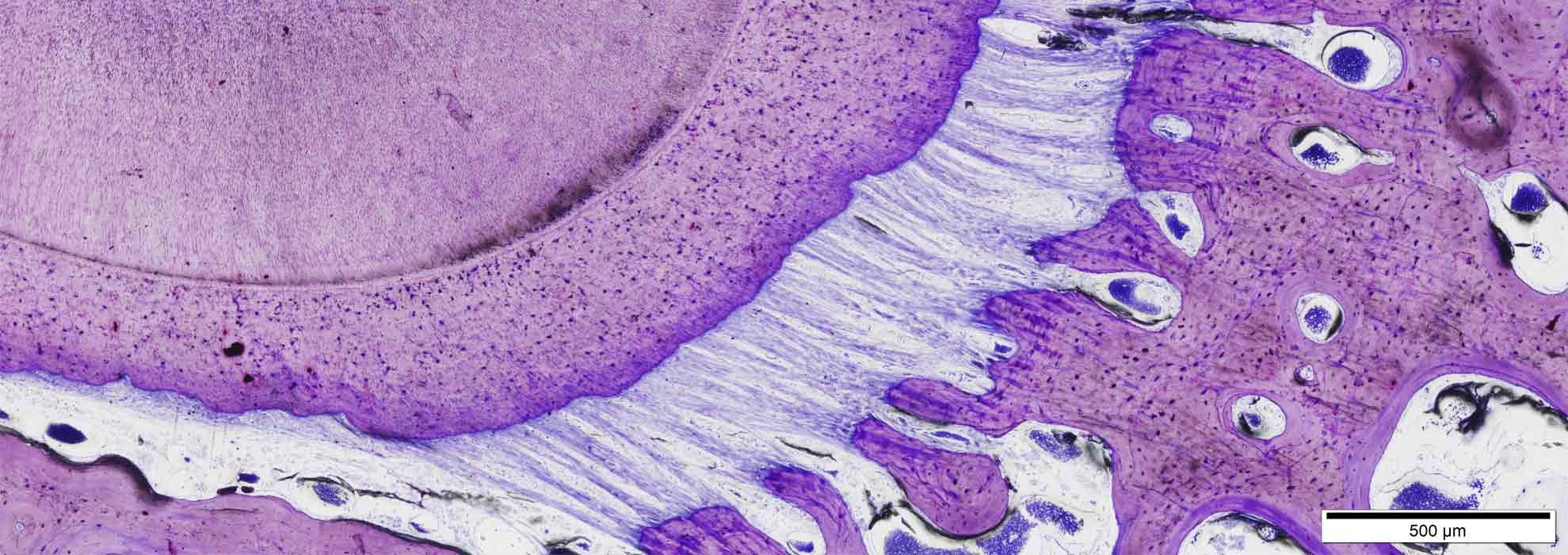
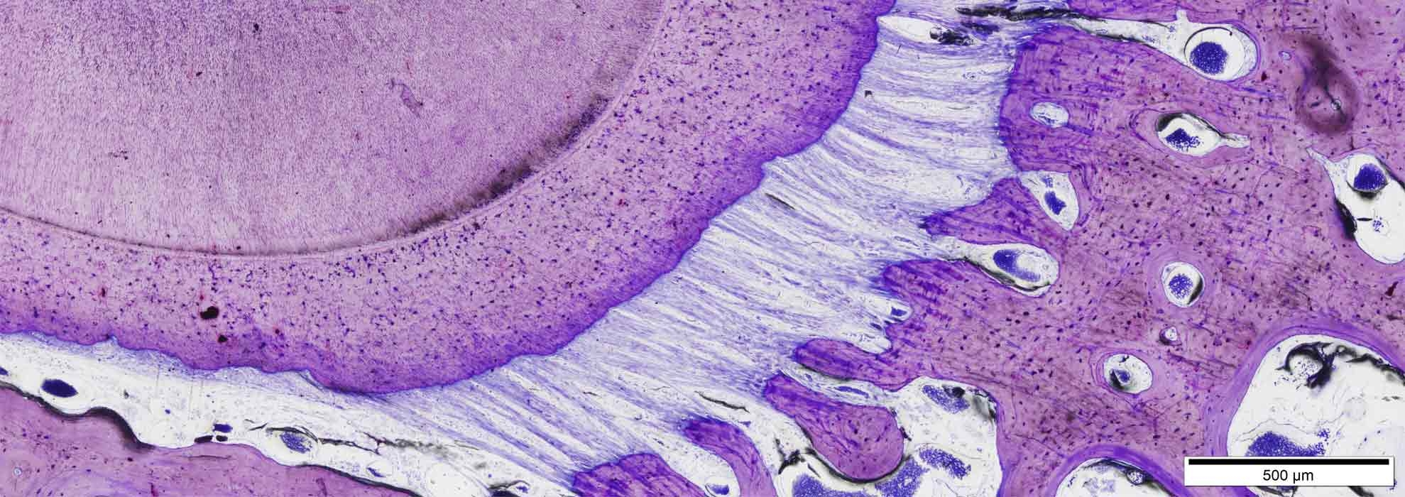
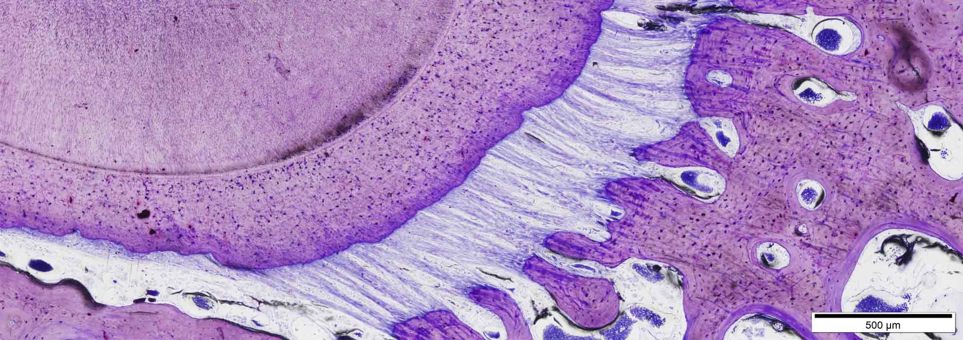
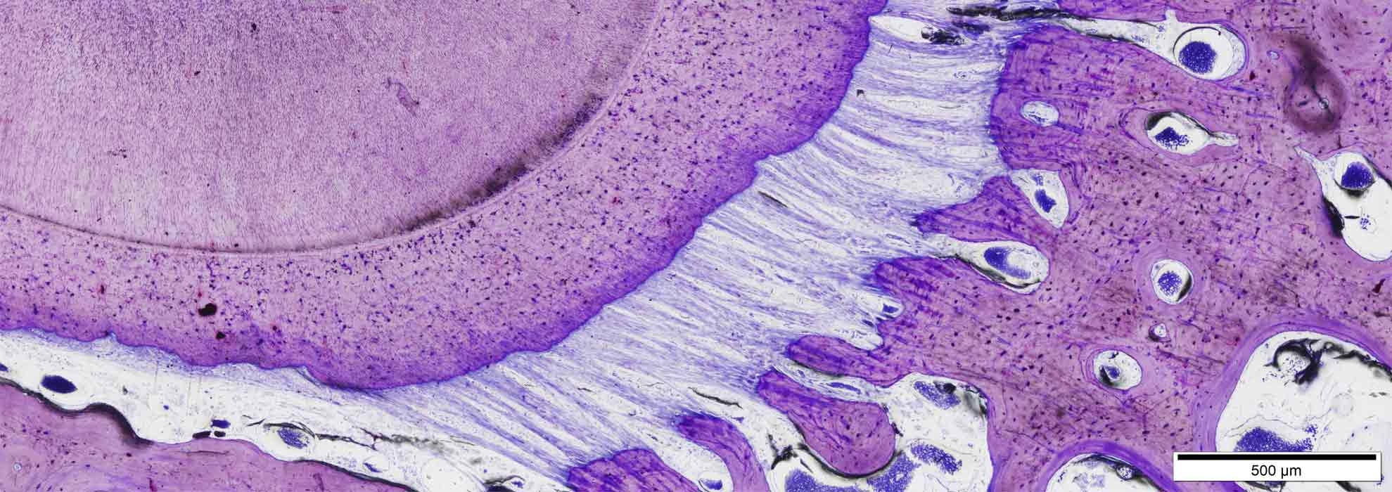
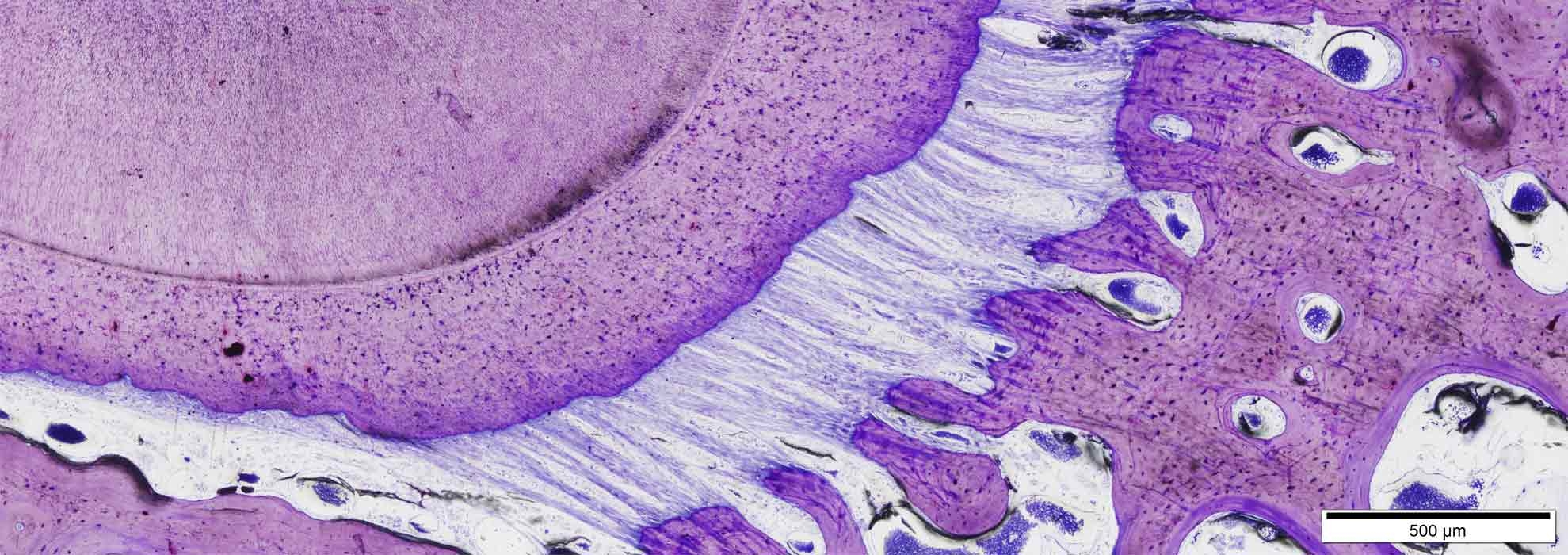
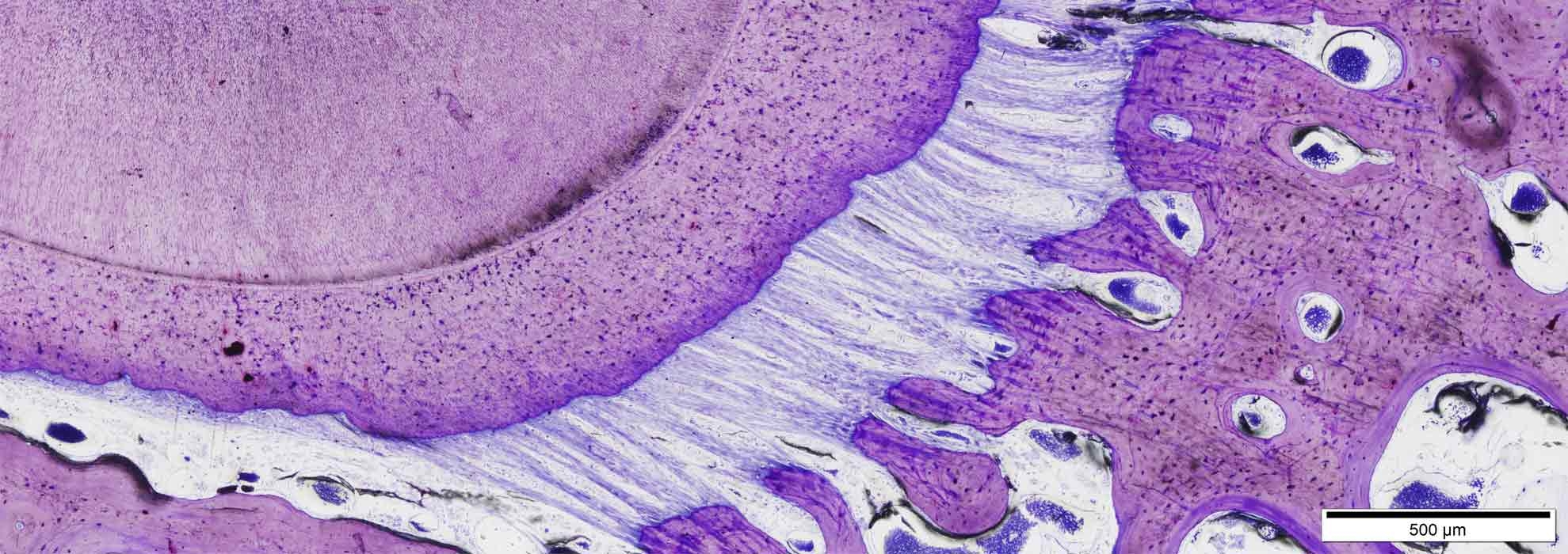
Mediante la inclusión en plástico y la técnica de lámina delgada en iBoneLab obtenemos imágenes microscópicas de alta calidad de cualquier material duro, ya sea orgánico o sintético.Más información -
IMPROVING BONE KNOWLEDGE
La evaluación y reconstrucción 3D de escáneres microtomográficos nos permite ampliar los resultados obtenidos, tanto de las características de tejidos y materiales como de su interacción.Más información
IBONELAB
En iBoneLab somos especialistas en el estudio de la integración de biomateriales en los tejidos vivos.
Desarrollamos ensayos preclínicos en distintas especies, de los que obtenemos muestras para su análisis.
Hemos optimizado la técnica histológica de “lámina delgada”, que nos permite que tanto los tejidos como los materiales implantados permanezcan inalterados para su estudio microscópico.
Podemos completar los estudios con la microtomografía, que nos aporta datos de la microestructura y densidad ósea y de su interacción con los materiales.



